别名:PTGFRN; CD9P1; EWIF; FPRP; KIAA1436; Prostaglandin F2 receptor negative regulator; CD9 partner 1; CD9P-1; Glu-Trp-Ile EWI motif-containing protein F; EWI-F; Prostaglandin F2-alpha receptor regulatory protein; Prostaglandin F2-alpha receptor-associated protein; CD315应用:WB,IHC
反应种属:Human,Mouse,Rat
规格:50μl/100μl
| Description |
|---|
| Inhibits the binding of prostaglandin F2-alpha (PGF2-alpha) to its specific FP receptor, by decreasing the receptor number rather than the affinity constant. |
| Specification | |
|---|---|
| Aliases | PTGFRN; CD9P1; EWIF; FPRP; KIAA1436; Prostaglandin F2 receptor negative regulator; CD9 partner 1; CD9P-1; Glu-Trp-Ile EWI motif-containing protein F; EWI-F; Prostaglandin F2-alpha receptor regulatory protein; Prostaglandin F2-alpha receptor-associated protein; CD315 |
| Entrez GeneID | 5738 |
| Swissprot | Q9P2B2 |
| WB Predicted band size | Calculated MW: 99 kDa; Observed MW: 99 kDa |
| Host/Isotype | Rabbit IgG |
| Storage | Store at 4°C short term. Aliquot and store at -20°C long term. Avoid freeze/thaw cycles. |
| Species Reactivity | Human,Mouse,Rat |
| Immunogen | The antiserum was produced against synthesized peptide derived from the Internal region of human PTGFRN. AA range:601-650 |
| Formulation | Liquid in PBS containing 50% glycerol, 0.5% BSA and 0.02% sodium azide, pH 7.3. |
| Application | |
|---|---|
| WB | 1/500-1/1000 |
| IHC | 1/50-1/100 |
| ELISA | 1/10000 |
![]() |
Western blot analysis of CD315 in 293 lysates using CD315 antibody. |
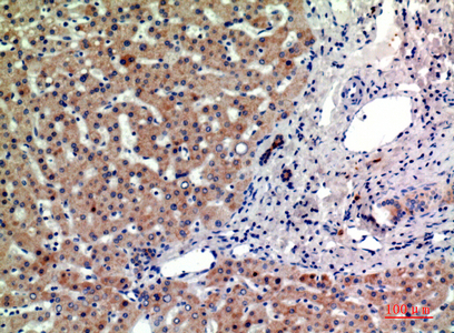
![]() |
Immunohistochemistry analysis of paraffin-embedded Human liver using CD315 antibody.High-pressure and temperature Sodium Citrate pH 6.0 was used for antigen retrieval. |
本公司的所有产品仅用于科学研究或者工业应用等非医疗目的,不可用于人类或动物的临床诊断或治疗,非药用,非食用。
暂无评论
本公司的所有产品仅用于科学研究或者工业应用等非医疗目的,不可用于人类或动物的临床诊断或治疗,非药用,非食用。
中文


发表回复