别名:Platelet glycoprotein Ib beta chain (GP-Ib beta; GPIb-beta; GPIbB; Antigen CD42b-beta; CD antigen CD42c)应用:IHC
反应种属:Human,Mouse,Rat
规格:50μl/100μl
| Description |
|---|
| Gp-Ib, a surface membrane protein of platelets, participates in the formation of platelet plugs by binding to von Willebrand factor, which is already bound to the subendothelium. |
| Specification | |
|---|---|
| Aliases | Platelet glycoprotein Ib beta chain (GP-Ib beta; GPIb-beta; GPIbB; Antigen CD42b-beta; CD antigen CD42c) |
| Entrez GeneID | 2812 |
| Swissprot | P13224 |
| Host/Isotype | Rabbit IgG |
| Storage | Store at 4°C short term. Aliquot and store at -20°C long term. Avoid freeze/thaw cycles. |
| Species Reactivity | Human,Mouse,Rat |
| Immunogen | Synthetic peptide from human protein at AA range: 90-150 |
| Formulation | Liquid in PBS containing 50% glycerol, 0.5% BSA and 0.02% sodium azide, pH 7.3. |
| Application | |
|---|---|
| IHC | 1/50-1/100 |
| ELISA | 1/10000 |
![]() |
Immunohistochemical analysis of paraffin-embedded Human tonsils using CD42c antibody.High-pressure and temperature Sodium Citrate pH 6.0 was used for antigen retrieval. |
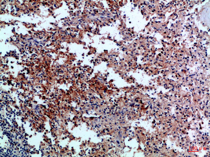
![]() |
Immunohistochemistry analysis of paraffin-embedded Human spleen using CD42c antibody.High-pressure and temperature Sodium Citrate pH 6.0 was used for antigen retrieval. |
本公司的所有产品仅用于科学研究或者工业应用等非医疗目的,不可用于人类或动物的临床诊断或治疗,非药用,非食用。
暂无评论
本公司的所有产品仅用于科学研究或者工业应用等非医疗目的,不可用于人类或动物的临床诊断或治疗,非药用,非食用。
中文


发表回复