别名:CD27L; LPFS3; CD27-L; CD27LG; TNFSF7; TNLG8A应用:WB,IHC
反应种属:Human, Mouse
规格:50μl/100μl
| Description |
|---|
| The protein encoded by this gene is a cytokine that belongs to the tumor necrosis factor (TNF) ligand family. This cytokine is a ligand for TNFRSF27/CD27. It is a surface antigen on activated, but not on resting, T and B lymphocytes. It induces proliferation of costimulated T cells, enhances the generation of cytolytic T cells, and contributes to T cell activation. This cytokine is also reported to play a role in regulating B-cell activation, cytotoxic function of natural killer cells, and immunoglobulin sythesis. |
| Specification | |
|---|---|
| Aliases | CD27L; LPFS3; CD27-L; CD27LG; TNFSF7; TNLG8A |
| Swissprot | P32970 |
| WB Predicted band size | 21 kDa |
| Host/Isotype | Rabbit IgG |
| Storage | Store at 4°C short term. Aliquot and store at -20°C long term. Avoid freeze/thaw cycles. |
| Species Reactivity | Human, Mouse |
| Immunogen | Synthetic peptide of human CD70 |
| Formulation | pH7.4 PBS, 0.05% NaN3, 40% Glycerol |
| Application | |
|---|---|
| WB | 1/500-1/2000 |
| IHC | 1/50-1/100 |
| ELISA | 1/5000-1/10000 |
![]() |
Gel: 12%SDS-PAGE, Lysate: 40 μg, Lane: A172 cell lysate, Primary antibody: P05527(CD70 Antibody) at dilution 1/650, Secondary antibody: Goat anti rabbit IgG at 1/5000 dilution, Exposure time: 30 seconds |
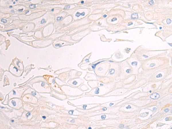
![]() |
The image is immunohistochemistry of paraffin-embedded Human esophagus cancer tissue using P05527(CD70 Antibody) at dilution 1/50. (Original magnification: ×200) |
本公司的所有产品仅用于科学研究或者工业应用等非医疗目的,不可用于人类或动物的临床诊断或治疗,非药用,非食用。
暂无评论
本公司的所有产品仅用于科学研究或者工业应用等非医疗目的,不可用于人类或动物的临床诊断或治疗,非药用,非食用。
中文


发表回复