别名:Cell division control protein 45 homolog, PORC-PI-1, CDC45, CDC45L, CDC45L2应用:WB,IHC,FCM
反应种属:Human
规格:50μl/100μl
| Description |
|---|
| The protein encoded by this gene was identified by its strong similarity with Saccharomyces cerevisiae Cdc45, an essential protein required to the initiation of DNA replication. Cdc45 is a member of the highly conserved multiprotein complex including Cdc6/Cdc18, the minichromosome maintenance proteins (MCMs) and DNA polymerase, which is important for early steps of DNA replication in eukaryotes. This protein has been shown to interact with MCM7 and DNA polymerase alpha. Studies of the similar gene in Xenopus suggested that this protein play a pivotal role in the loading of DNA polymerase alpha onto chromatin. Multiple polyadenlyation sites of this gene are reported. |
| Specification | |
|---|---|
| Aliases | Cell division control protein 45 homolog, PORC-PI-1, CDC45, CDC45L, CDC45L2 |
| Entrez GeneID | 8318 |
| Swissprot | O75419 |
| WB Predicted band size | 65.6kDa |
| Host/Isotype | Rabbit IgG |
| Storage | Store at 4°C short term. Aliquot and store at -20°C long term. Avoid freeze/thaw cycles. |
| Species Reactivity | Human |
| Immunogen | This CDC45L antibody is generated from rabbits immunized with a KLH conjugated synthetic peptide between 236-263 amino acids from the Central region of human CDC45L. |
| Formulation | Purified polyclonal antibody supplied in PBS with 0.05% sodium azide. This antibody is purified through a protein A column, followed by peptide affinity purification. |
| Application | |
|---|---|
| WB | 1/1000 |
| IHC | 1/100-1/500 |
| FCM | 1/10-1/50 |
![]() |
Western blot analysis of CDC45L Antibody (Center) (Cat. #P30579) in 293 cell line lysates (35ug/lane). CDC45L (arrow) was detected using the purified Pab. |
![]() |
CDC45L Antibody (Center) (Cat. #P30579) flow cytometric analysis of 293 cells (right histogram) compared to a negative control cell (left histogram).FITC-conjugated goat-anti-rabbit secondary antibodies were used for the analysis. |
![]() |
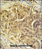
CDC45L Antibody (Center) (Cat. #P30579) IHC analysis in formalin fixed and paraffin embedded testis tissue followed by peroxidase conjugation of the secondary antibody and DAB staining. This data demonstrates the use of the CDC45L Antibody (Center) for immunohistochemistry. Clinical relevance has not been evaluated. |
本公司的所有产品仅用于科学研究或者工业应用等非医疗目的,不可用于人类或动物的临床诊断或治疗,非药用,非食用。
暂无评论
本公司的所有产品仅用于科学研究或者工业应用等非医疗目的,不可用于人类或动物的临床诊断或治疗,非药用,非食用。
中文



发表回复