别名:HEPP; SEI-3/HEPP应用:IHC
反应种属:Human, Mouse
规格:50μl/100μl
| Description |
|---|
| This gene encodes a protein that belongs to the E2F family of transcription factors. This protein regulates E2F-dependent transcriptional activation and cell proliferation, mainly through the E2F/retinoblastoma protein pathway. It also functions in the regulaton of JUN oncogene expression. This protein shows distinctive nuclear-mitotic apparatus distribution, it is involved in spindle organization from prometaphase, and may also play a role as a midzone factor involved in chromosome segregation or cytokinesis. Two alternatively spliced transcript variants encoding the same protein have been noted for this gene. Two pseudogenes have also been identified on chromosome 1. |
| Specification | |
|---|---|
| Aliases | HEPP; SEI-3/HEPP |
| Swissprot | Q9BXL8 |
| Host/Isotype | Rabbit IgG |
| Storage | Store at 4°C short term. Aliquot and store at -20°C long term. Avoid freeze/thaw cycles. |
| Species Reactivity | Human, Mouse |
| Immunogen | Synthetic peptide of human CDCA4 |
| Formulation | pH7.4 PBS, 0.05% NaN3, 40% Glycerol |
| Application | |
|---|---|
| IHC | 1/50-1/200 |
| ELISA | 1/1000-1/5000 |
![]() |
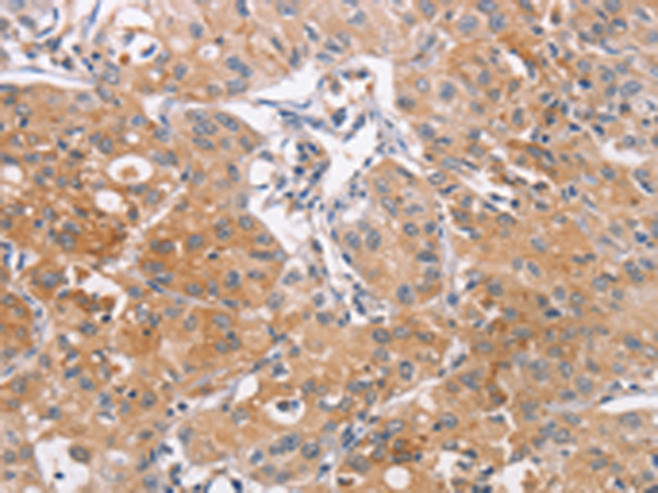
The image is immunohistochemistry of paraffin-embedded Human thyroid cancer tissue using P11655(CDCA4 Antibody) at dilution 1/50. (Original magnification: ×200) |
![]() |
The image is immunohistochemistry of paraffin-embedded Human lung cancer tissue using P11655(CDCA4 Antibody) at dilution 1/50. (Original magnification: ×200) |
本公司的所有产品仅用于科学研究或者工业应用等非医疗目的,不可用于人类或动物的临床诊断或治疗,非药用,非食用。
暂无评论
本公司的所有产品仅用于科学研究或者工业应用等非医疗目的,不可用于人类或动物的临床诊断或治疗,非药用,非食用。
中文


发表回复