别名:Cadherin-7, CDH7, CDH7L1应用:WB,IHC,FCM
反应种属:Human
规格:50μl/100μl
| Description |
|---|
| CDH7 is a type II classical cadherin from the cadherin superfamily. This protein is a calcium dependent cell-cell adhesion glycoprotein comprised of five extracellular cadherin repeats, a transmembrane region and a highly conserved cytoplasmic tail. Type II (atypical) cadherins are defined based on their lack of a HAV cell adhesion recognition sequence specific to type I cadherins. Cadherins mediate cell-cell binding in a homophilic manner, contributing to the sorting of heterogeneous cell types and the maintenance of orderly structures. |
| Specification | |
|---|---|
| Aliases | Cadherin-7, CDH7, CDH7L1 |
| Entrez GeneID | 1005 |
| Swissprot | Q9ULB5 |
| WB Predicted band size | 87.1kDa |
| Host/Isotype | Rabbit IgG |
| Storage | Store at 4°C short term. Aliquot and store at -20°C long term. Avoid freeze/thaw cycles. |
| Species Reactivity | Human |
| Immunogen | This CDH7 antibody is generated from rabbits immunized with a KLH conjugated synthetic peptide between 56-84 amino acids from the N-terminal region of human CDH7. |
| Formulation | Purified polyclonal antibody supplied in PBS with 0.05% sodium azide. This antibody is purified through a protein A column, followed by peptide affinity purification. |
| Application | |
|---|---|
| WB | 1/1000 |
| IHC | 1/100-1/500 |
| FCM | 1/10-1/50 |
![]() |
Western blot analysis of anti-CDH7 Pab (Cat.#P30247) in K562 cell line lysates (35ug/lane). CDH7(arrow) was detected using the purified Pab. |
![]() |
Flow cytometric analysis of NCI-H292 cells using Cadherin 7 (CDH7) Antibody (N-term)(bottom histogram) compared to a negative control cell (top histogram). FITC-conjugated goat-anti-rabbit secondary antibodies were used for the analysis. |
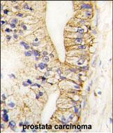
![]() |
Formalin-fixed and paraffin-embedded human prostata carcinoma tissue reacted with CDH7 antibody (N-term) (Cat.#P30247), which was peroxidase-conjugated to the secondary antibody, followed by DAB staining. This data demonstrates the use of this antibody for immunohistochemistry; clinical relevance has not been evaluated. |
本公司的所有产品仅用于科学研究或者工业应用等非医疗目的,不可用于人类或动物的临床诊断或治疗,非药用,非食用。
暂无评论
本公司的所有产品仅用于科学研究或者工业应用等非医疗目的,不可用于人类或动物的临床诊断或治疗,非药用,非食用。
中文



发表回复