别名:CDP-diacylglycerol–inositol 3-phosphatidyltransferase, Phosphatidylinositol synthase, PI synthase, PtdIns synthase, CDIPT, PIS, PIS1应用:WB,IHC,FCM
反应种属:Human, Mouse
规格:50μl/100μl
| Description |
|---|
| CDIPT is a protein which is phosphatidylinositol breakdown products that are ubiquitous second messengers that function downstream of many G protein-coupled receptors and tyrosine kinases regulating cell growth, calcium metabolism, and protein kinase C activity. Two enzymes, CDP-diacylglycerol synthase and phosphatidylinositol synthase, are involved in the biosynthesis of phosphatidylinositol. Phosphatidylinositol synthase, a member of the CDP-alcohol phosphatidyl transferase class-I family, is an integral membrane protein found on the cytoplasmic side of the endoplasmic reticulum and the Golgi apparatus. |
| Specification | |
|---|---|
| Aliases | CDP-diacylglycerol–inositol 3-phosphatidyltransferase, Phosphatidylinositol synthase, PI synthase, PtdIns synthase, CDIPT, PIS, PIS1 |
| Entrez GeneID | 10423 |
| Swissprot | O14735 |
| WB Predicted band size | 23.5kDa |
| Host/Isotype | Rabbit IgG |
| Storage | Store at 4°C short term. Aliquot and store at -20°C long term. Avoid freeze/thaw cycles. |
| Species Reactivity | Human, Mouse |
| Immunogen | This CDIPT antibody is generated from rabbits immunized with a KLH conjugated synthetic peptide between 99-125 amino acids from the Central region of human CDIPT. |
| Formulation | Purified polyclonal antibody supplied in PBS with 0.05% sodium azide. This antibody is purified through a protein A column, followed by peptide affinity purification. |
| Application | |
|---|---|
| WB | 1/1000 |
| IHC | 1/100-1/500 |
| FCM | 1/10-1/50 |
![]() |
Western blot analysis of CDIPT Antibody (Center) (Cat. #P30446) in mouse stomach tissue lysates (35ug/lane). CDIPT (arrow) was detected using the purified Pab. |
![]() |
CDIPT Antibody (Center) (Cat. #P30446) flow cytometry analysis of MCF-7 cells (bottom histogram) compared to a negative control cell (top histogram).FITC-conjugated goat-anti-rabbit secondary antibodies were used for the analysis. |
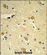
![]() |
Formalin-fixed and paraffin-embedded human brain tissue reacted with CDIPT Antibody (Center), which was peroxidase-conjugated to the secondary antibody, followed by DAB staining. This data demonstrates the use of this antibody for immunohistochemistry; clinical relevance has not been evaluated. |
本公司的所有产品仅用于科学研究或者工业应用等非医疗目的,不可用于人类或动物的临床诊断或治疗,非药用,非食用。
暂无评论
本公司的所有产品仅用于科学研究或者工业应用等非医疗目的,不可用于人类或动物的临床诊断或治疗,非药用,非食用。
中文



发表回复