别名:ALSAS; PISSLRE应用:WB,IHC
反应种属:Human, Mouse, Rat
规格:50μl/100μl
| Description |
|---|
| The protein encoded by this gene belongs to the CDK subfamily of the Ser/Thr protein kinase family. The CDK subfamily members are highly similar to the gene products of S. cerevisiae cdc28, and S. pombe cdc2, and are known to be essential for cell cycle progression. This kinase has been shown to play a role in cellular proliferation and its function is limited to cell cycle G2-M phase. Multiple transcript variants encoding different isoforms have been found for this gene. |
| Specification | |
|---|---|
| Aliases | ALSAS; PISSLRE |
| Swissprot | Q15131 |
| WB Predicted band size | 41 kDa |
| Host/Isotype | Rabbit IgG |
| Storage | Store at 4°C short term. Aliquot and store at -20°C long term. Avoid freeze/thaw cycles. |
| Species Reactivity | Human, Mouse, Rat |
| Immunogen | Fusion protein of human CDK10 |
| Formulation | pH7.4 PBS, 0.05% NaN3, 40% Glycerol |
| Application | |
|---|---|
| WB | 1/1000-1/5000 |
| IHC | 1/100-1/200 |
| ELISA | 1/5000-1/10000 |
![]() |
Gel: 8%SDS-PAGE, Lysate: 40 μg, Lane: Human small cell malignant tumors (lymphoma) tissue lysate, Primary antibody: P07184(CDK10 Antibody) at dilution 1/1000, Secondary antibody: Goat anti rabbit IgG at 1/5000 dilution, Exposure time: 10 seconds |
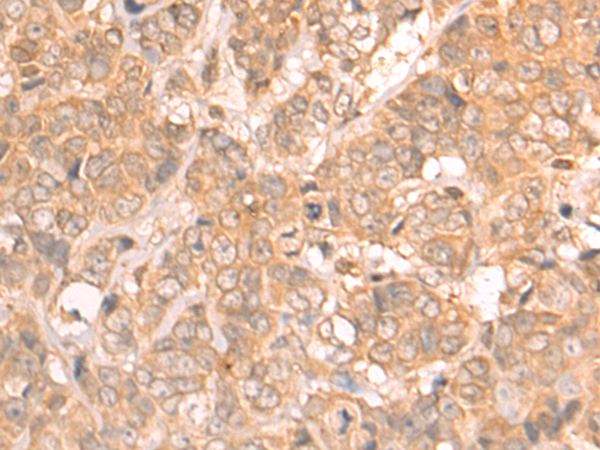
![]() |
The image is immunohistochemistry of paraffin-embedded Human breast cancer tissue using P07184(CDK10 Antibody) at dilution 1/75. (Original magnification: ×200) |
本公司的所有产品仅用于科学研究或者工业应用等非医疗目的,不可用于人类或动物的临床诊断或治疗,非药用,非食用。
暂无评论
本公司的所有产品仅用于科学研究或者工业应用等非医疗目的,不可用于人类或动物的临床诊断或治疗,非药用,非食用。
中文


发表回复