别名:Cyclin-dependent kinase 5 activator 1, CDK5 activator 1, Cyclin-dependent kinase 5 regulatory subunit 1, TPKII regulatory subunit, Cyclin-dependent kinase 5 activator 1, p35, p35, Cyclin-dependent kinase 5 activator 1, p25, p25, Tau protein kinase II 23 kDa subunit, p23, CDK5R1, CDK5R, NCK5A应用:WB,IHC
反应种属:Human
规格:50μl/100μl
| Description |
|---|
| p35 is a neuron-specific activator of cyclin-dependent kinase 5 (CDK5); the activation of CDK5 is required for proper development of the central nervous system. The p35 form of this protein is proteolytically cleaved by calpain, generating a p25 form. The cleavage of p35 into p25 results in relocalization of the protein from the cell periphery to nuclear and perinuclear regions. P25 deregulates CDK5 activity by prolonging its activation and changing its cellular location. The p25 form accumulates in the brain neurons of patients with Alzheimer’s disease. This accumulation correlates with an increase in CDK5 kinase activity, and may lead to aberrantly phosphorylated forms of the microtubule-associated protein tau, which contributes to Alzheimer’s disease. |
| Specification | |
|---|---|
| Aliases | Cyclin-dependent kinase 5 activator 1, CDK5 activator 1, Cyclin-dependent kinase 5 regulatory subunit 1, TPKII regulatory subunit, Cyclin-dependent kinase 5 activator 1, p35, p35, Cyclin-dependent kinase 5 activator 1, p25, p25, Tau protein kinase II 23 kDa subunit, p23, CDK5R1, CDK5R, NCK5A |
| Entrez GeneID | 8851 |
| Swissprot | Q15078 |
| WB Predicted band size | 34.1kDa |
| Host/Isotype | Rabbit IgG |
| Storage | Store at 4°C short term. Aliquot and store at -20°C long term. Avoid freeze/thaw cycles. |
| Species Reactivity | Human |
| Immunogen | This CDK5R1(p35) antibody is generated from rabbits immunized with a KLH conjugated synthetic peptide between 272-301 amino acids from the C-terminal region of human CDK5R1(p35). |
| Formulation | Purified polyclonal antibody supplied in PBS with 0.05% sodium azide. This antibody is purified through a protein G column, eluted with high and low pH buffers and neutralized immediately, followed by dialysis against PBS. |
| Application | |
|---|---|
| WB | 1/1000 |
| IHC | 1/100-1/500 |
![]() |
CDK5R1 Antibody (C-term) (Cat. #P30279) western blot analysis in A2058 cell line lysates (35ug/lane).This demonstrates the CDK5R1 antibody detected the CDK5R1 protein (arrow). |
![]() |
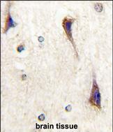
Formalin-fixed and paraffin-embedded human brain tissue reacted with CDK5R1(p35) Antibody (C-term) (Cat.#P30279), which was peroxidase-conjugated to the secondary antibody, followed by DAB staining. This data demonstrates the use of this antibody for immunohistochemistry; clinical relevance has not been evaluated. |
本公司的所有产品仅用于科学研究或者工业应用等非医疗目的,不可用于人类或动物的临床诊断或治疗,非药用,非食用。
暂无评论
本公司的所有产品仅用于科学研究或者工业应用等非医疗目的,不可用于人类或动物的临床诊断或治疗,非药用,非食用。
中文


发表回复