别名:BWS; WBS; p57; BWCR; KIP2; p57Kip2应用:IHC
反应种属:Human
规格:50μl/100μl
| Description |
|---|
| This gene is imprinted, with preferential expression of the maternal allele. The encoded protein is a tight-binding, strong inhibitor of several G1 cyclin/Cdk complexes and a negative regulator of cell proliferation. Mutations in this gene are implicated in sporadic cancers and Beckwith-Wiedemann syndorome, suggesting that this gene is a tumor suppressor candidate. Three transcript variants encoding two different isoforms have been found for this gene. |
| Specification | |
|---|---|
| Aliases | BWS; WBS; p57; BWCR; KIP2; p57Kip2 |
| Swissprot | P49918 |
| Host/Isotype | Rabbit IgG |
| Storage | Store at 4°C short term. Aliquot and store at -20°C long term. Avoid freeze/thaw cycles. |
| Species Reactivity | Human |
| Immunogen | Synthetic peptide of human CDKN1C |
| Formulation | pH7.4 PBS, 0.05% NaN3, 40% Glycerol |
| Application | |
|---|---|
| IHC | 1/50-1/200 |
| ELISA | 1/5000-1/10000 |
![]() |
The image is immunohistochemistry of paraffin-embedded Human colorectal cancer tissue using P03807(CDKN1C Antibody) at dilution 1/50. (Original magnification: ×200) |
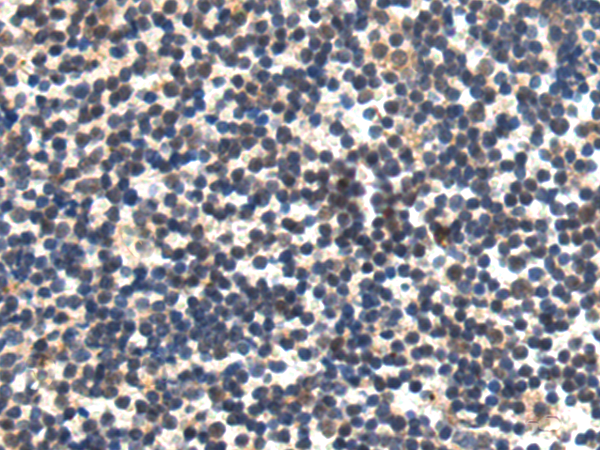
![]() |
The image is immunohistochemistry of paraffin-embedded Human tonsil tissue using P03807(CDKN1C Antibody) at dilution 1/50. (Original magnification: ×200) |
本公司的所有产品仅用于科学研究或者工业应用等非医疗目的,不可用于人类或动物的临床诊断或治疗,非药用,非食用。
暂无评论
本公司的所有产品仅用于科学研究或者工业应用等非医疗目的,不可用于人类或动物的临床诊断或治疗,非药用,非食用。
中文


发表回复