别名:CEACAM3, R29124_1应用:IHC
反应种属:Human
规格:50μl/100μl
| Description |
|---|
| CEACAM21 is a gene which encodes carcinoembryonic antigen.It belongs to the immunoglobulin superfamily-CEA family. Three isoforms of the human protein are produced by alternative splicing.High levels of expression in hematopoietic system, brain and muscle. |
| Specification | |
|---|---|
| Aliases | CEACAM3, R29124_1 |
| Swissprot | Q3KPI0 |
| Host/Isotype | Rabbit IgG |
| Storage | Store at 4°C short term. Aliquot and store at -20°C long term. Avoid freeze/thaw cycles. |
| Species Reactivity | Human |
| Immunogen | Fusion protein of human CEACAM21 |
| Formulation | pH7.4 PBS, 0.05% NaN3, 40% Glycerol |
| Application | |
|---|---|
| IHC | 1/50-1/200 |
| ELISA | 1/2000-1/5000 |
![]() |
The image is immunohistochemistry of paraffin-embedded Human colon cancer tissue using P07190(CEACAM21 Antibody) at dilution 1/60. (Original magnification: ×200) |
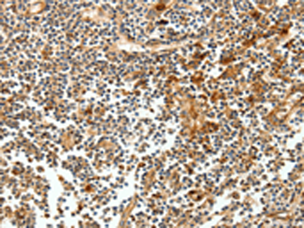
![]() |
The image is immunohistochemistry of paraffin-embedded Human tonsil tissue using P07190(CEACAM21 Antibody) at dilution 1/60. (Original magnification: ×200) |
本公司的所有产品仅用于科学研究或者工业应用等非医疗目的,不可用于人类或动物的临床诊断或治疗,非药用,非食用。
暂无评论
本公司的所有产品仅用于科学研究或者工业应用等非医疗目的,不可用于人类或动物的临床诊断或治疗,非药用,非食用。
中文


发表回复