别名:CELF; CRP3; C/EBP-delta; NF-IL6-beta应用:WB,IHC
反应种属:Human, Mouse, Rat
规格:50μl/100μl
| Description |
|---|
| The protein encoded by this intronless gene is a bZIP transcription factor which can bind as a homodimer to certain DNA regulatory regions. It can also form heterodimers with the related protein CEBP-alpha. The encoded protein is important in the regulation of genes involved in immune and inflammatory responses, and may be involved in the regulation of genes associated with activation and/or differentiation of macrophages. The cytogenetic location of this locus has been reported as both 8p11 and 8q11. |
| Specification | |
|---|---|
| Aliases | CELF; CRP3; C/EBP-delta; NF-IL6-beta |
| Swissprot | P49716 |
| WB Predicted band size | 28 kDa |
| Host/Isotype | Rabbit IgG |
| Storage | Store at 4°C short term. Aliquot and store at -20°C long term. Avoid freeze/thaw cycles. |
| Species Reactivity | Human, Mouse, Rat |
| Immunogen | Synthetic peptide of human CEBPD |
| Formulation | pH7.4 PBS, 0.05% NaN3, 40% Glycerol |
| Application | |
|---|---|
| WB | 1/500-1/2000 |
| IHC | 1/25-1/50 |
| ELISA | 1/5000-1/10000 |
![]() |
Gel: 8%SDS-PAGE, Lysate: 40 μg, Lane 1-5: Hela, LO2, RAW264.7, LOVO and A549 cell lysates, Primary antibody: P03810(CEBPD Antibody) at dilution 1/800, Secondary antibody: Goat anti rabbit IgG at 1/5000 dilution, Exposure time: 1 minute |
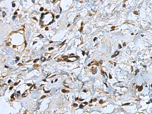
![]() |
The image is immunohistochemistry of paraffin-embedded Human esophagus cancer tissue using P03810(CEBPD Antibody) at dilution 1/25. (Original magnification: ×200) |
本公司的所有产品仅用于科学研究或者工业应用等非医疗目的,不可用于人类或动物的临床诊断或治疗,非药用,非食用。
暂无评论
本公司的所有产品仅用于科学研究或者工业应用等非医疗目的,不可用于人类或动物的临床诊断或治疗,非药用,非食用。
中文


发表回复