别名:BAL; FAP; BSDL; BSSL; CELL; FAPP; LIPA; CEase; MODY8应用:WB,IHC
反应种属:Human, Mouse
规格:50μl/100μl
| Description |
|---|
| The protein encoded by this gene is a glycoprotein secreted from the pancreas into the digestive tract and from the lactating mammary gland into human milk. The physiological role of this protein is in cholesterol and lipid-soluble vitamin ester hydrolysis and absorption. This encoded protein promotes large chylomicron production in the intestine. Also its presence in plasma suggests its interactions with cholesterol and oxidized lipoproteins to modulate the progression of atherosclerosis. In pancreatic tumoral cells, this encoded protein is thought to be sequestrated within the Golgi compartment and is probably not secreted. |
| Specification | |
|---|---|
| Aliases | BAL; FAP; BSDL; BSSL; CELL; FAPP; LIPA; CEase; MODY8 |
| Swissprot | P19835 |
| WB Predicted band size | 79 kDa |
| Host/Isotype | Rabbit IgG |
| Storage | Store at 4°C short term. Aliquot and store at -20°C long term. Avoid freeze/thaw cycles. |
| Species Reactivity | Human, Mouse |
| Immunogen | Synthetic peptide of human CEL |
| Formulation | pH7.4 PBS, 0.05% NaN3, 40% Glycerol |
| Application | |
|---|---|
| WB | 1/500-1/2000 |
| IHC | 1/50-1/200 |
| ELISA | 1/2000-1/5000 |
![]() |
Gel: 6%SDS-PAGE, Lysate: 40 μg, Lane: Mouse pancreas tissue, Primary antibody: P04718(CEL Antibody) at dilution 1/500, Secondary antibody: Goat anti rabbit IgG at 1/8000 dilution, Exposure time: 20 seconds |
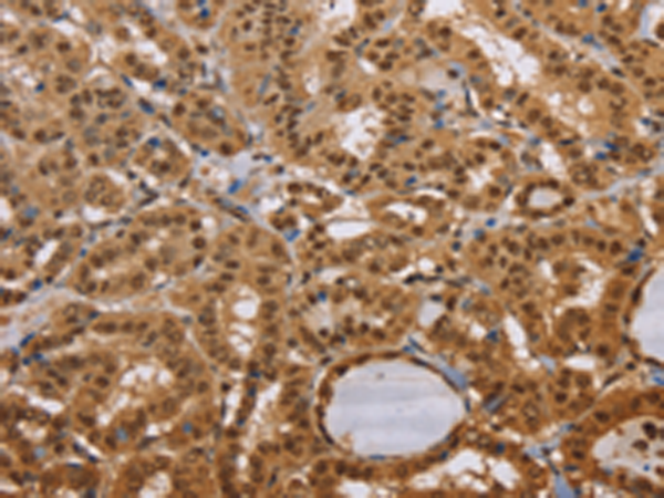
![]() |
The image is immunohistochemistry of paraffin-embedded Human cervical cancer tissue using P04718(CEL Antibody) at dilution 1/40. (Original magnification: ×200) |
![]() |
The image is immunohistochemistry of paraffin-embedded Human thyroid cancer tissue using P04718(CEL Antibody) at dilution 1/40. (Original magnification: ×200) |
本公司的所有产品仅用于科学研究或者工业应用等非医疗目的,不可用于人类或动物的临床诊断或治疗,非药用,非食用。
暂无评论
本公司的所有产品仅用于科学研究或者工业应用等非医疗目的,不可用于人类或动物的临床诊断或治疗,非药用,非食用。
中文



发表回复