别名:p30; PRR6; CENP-V; 3110013H01Rik应用:WB,IHC
反应种属:Human, Mouse
规格:50μl/100μl
| Description |
|---|
| Predicted to enable carbon-sulfur lyase activity and metal ion binding activity. Involved in pericentric heterochromatin assembly; positive regulation of cytokinesis; and regulation of chromosome organization. Acts upstream of or within ameboidal-type cell migration. Located in several cellular components, including midbody; nucleus; and spindle midzone. |
| Specification | |
|---|---|
| Aliases | p30; PRR6; CENP-V; 3110013H01Rik |
| Swissprot | Q7Z7K6 |
| WB Predicted band size | 30 kDa |
| Host/Isotype | Rabbit IgG |
| Storage | Store at 4°C short term. Aliquot and store at -20°C long term. Avoid freeze/thaw cycles. |
| Species Reactivity | Human, Mouse |
| Immunogen | Synthetic peptide of human CENPV |
| Formulation | pH7.4 PBS, 0.05% NaN3, 40% Glycerol |
| Application | |
|---|---|
| WB | 1/500-1/2000 |
| IHC | 1/50-1/100 |
| ELISA | 1/5000-1/10000 |
![]() |
Gel: 8%SDS-PAGE, Lysate: 40 μg, Lane 1-5: Raji cell, Hela cell, Jurkat cell, 293T cell, Mouse brain tissue lysate, Primary antibody: P05190(CENPV Antibody) at dilution 1/700, Secondary antibody: Goat anti rabbit IgG at 1/5000 dilution, Exposure time: 3 seconds |
![]() |
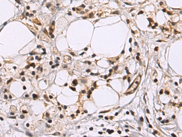
The image is immunohistochemistry of paraffin-embedded Human gastric cancer tissue using P05190(CENPV Antibody) at dilution 1/50. (Original magnification: ×200) |
![]() |
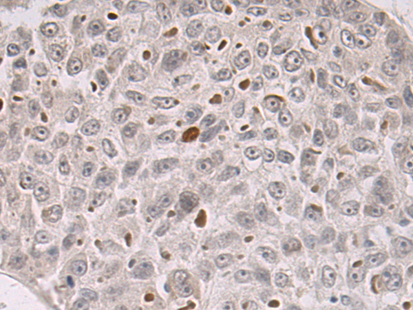
The image is immunohistochemistry of paraffin-embedded Human liver cancer tissue using P05190(CENPV Antibody) at dilution 1/50. (Original magnification: ×200) |
本公司的所有产品仅用于科学研究或者工业应用等非医疗目的,不可用于人类或动物的临床诊断或治疗,非药用,非食用。
暂无评论
本公司的所有产品仅用于科学研究或者工业应用等非医疗目的,不可用于人类或动物的临床诊断或治疗,非药用,非食用。
中文



发表回复