别名:EPM8; GDF1; LAG1; UOG1; GDF-1; LASS1应用:WB,IHC
反应种属:Human, Mouse
规格:50μl/100μl
| Description |
|---|
| This gene encodes a ceramide synthase enzyme, which catalyzes the synthesis of ceramide, the hydrophobic moiety of sphingolipids. The encoded enzyme synthesizes 18-carbon (C18) ceramide in brain neurons. Elevated expression of this gene may be associated with increased longevity, while decreased expression of this gene may be associated with myoclonus epilepsy with dementia in human patients. This protein is transcribed from a monocistronic mRNA as well as a bicistronic mRNA, which also encodes growth differentiation factor 1. |
| Specification | |
|---|---|
| Aliases | EPM8; GDF1; LAG1; UOG1; GDF-1; LASS1 |
| Swissprot | P27544 |
| WB Predicted band size | 40 kDa |
| Host/Isotype | Rabbit IgG |
| Storage | Store at 4°C short term. Aliquot and store at -20°C long term. Avoid freeze/thaw cycles. |
| Species Reactivity | Human, Mouse |
| Immunogen | Synthetic peptide of human CERS1 |
| Formulation | pH7.4 PBS, 0.05% NaN3, 40% Glycerol |
| Application | |
|---|---|
| WB | 1/500-1/2000 |
| IHC | 1/50-1/200 |
| ELISA | 1/5000-1/10000 |
![]() |
Gel: 8%SDS-PAGE, Lysate: 40 μg, Lane: A172 cell lysate, Primary antibody: P11895(CERS1 Antibody) at dilution 1/1000, Secondary antibody: Goat anti rabbit IgG at 1/5000 dilution, Exposure time: 1 minute |
![]() |
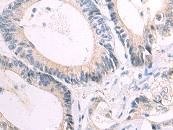
The image is immunohistochemistry of paraffin-embedded Human prostate cancer tissue using P11895(CERS1 Antibody) at dilution 1/50. (Original magnification: ×200) |
本公司的所有产品仅用于科学研究或者工业应用等非医疗目的,不可用于人类或动物的临床诊断或治疗,非药用,非食用。
暂无评论
本公司的所有产品仅用于科学研究或者工业应用等非医疗目的,不可用于人类或动物的临床诊断或治疗,非药用,非食用。
中文


发表回复