别名:L3; LASS2; SP260; TMSG1应用:WB,IHC
反应种属:Human, Mouse
规格:50μl/100μl
| Description |
|---|
| This gene encodes a protein that has sequence similarity to yeast longevity assurance gene 1. Mutation or overexpression of the related gene in yeast has been shown to alter yeast lifespan. The human protein may play a role in the regulation of cell growth. Alternatively spliced transcript variants encoding the same protein have been described. |
| Specification | |
|---|---|
| Aliases | L3; LASS2; SP260; TMSG1 |
| Swissprot | Q96G23 |
| WB Predicted band size | 45 kDa |
| Host/Isotype | Rabbit IgG |
| Storage | Store at 4°C short term. Aliquot and store at -20°C long term. Avoid freeze/thaw cycles. |
| Species Reactivity | Human, Mouse |
| Immunogen | Synthetic peptide of human CERS2 |
| Formulation | pH7.4 PBS, 0.05% NaN3, 40% Glycerol |
| Application | |
|---|---|
| WB | 1/200-1/1000 |
| IHC | 1/50-1/200 |
| ELISA | 1/5000-1/10000 |
![]() |
Gel: 8%SDS-PAGE, Lysate: 40 μg, Lane: Mouse skin tissue lysate, Primary antibody: P11398(CERS2 Antibody) at dilution 1/400, Secondary antibody: Goat anti rabbit IgG at 1/5000 dilution, Exposure time: 90 seconds |
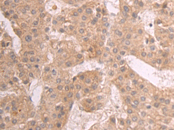
![]() |
The image is immunohistochemistry of paraffin-embedded Human liver cancer tissue using P11398(CERS2 Antibody) at dilution 1/50. (Original magnification: ×200) |
本公司的所有产品仅用于科学研究或者工业应用等非医疗目的,不可用于人类或动物的临床诊断或治疗,非药用,非食用。
暂无评论
本公司的所有产品仅用于科学研究或者工业应用等非医疗目的,不可用于人类或动物的临床诊断或治疗,非药用,非食用。
中文


发表回复