别名:NEM7应用:IHC
反应种属:Human, Mouse
规格:50μl/100μl
| Description |
|---|
| This gene encodes an intracellular protein that is involved in the regulation of actin-filament dynamics. This protein is a major component of intranuclear and cytoplasmic actin rods. It can bind G- and F-actin in a 1:1 ratio of cofilin to actin, and it reversibly controls actin polymerization and depolymerization in a pH-dependent manner. Mutations in this gene cause nemaline myopathy type 7, a form of congenital myopathy. Alternative splicing results in multiple transcript variants. |
| Specification | |
|---|---|
| Aliases | NEM7 |
| Swissprot | Q9Y281 |
| Host/Isotype | Rabbit IgG |
| Storage | Store at 4°C short term. Aliquot and store at -20°C long term. Avoid freeze/thaw cycles. |
| Species Reactivity | Human, Mouse |
| Immunogen | Synthetic peptide of human CFL2 |
| Formulation | pH7.4 PBS, 0.05% NaN3, 40% Glycerol |
| Application | |
|---|---|
| IHC | 1/10-1/50 |
| ELISA | 1/5000-1/10000 |
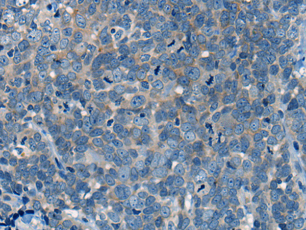
![]() |
The image is immunohistochemistry of paraffin-embedded Human liver cancer tissue using P13105(CFL2 Antibody) at dilution 1/20. (Original magnification: ×200) |
![]() |
The image is immunohistochemistry of paraffin-embedded Human thyroid cancer tissue using P13105(CFL2 Antibody) at dilution 1/20. (Original magnification: ×200) |
本公司的所有产品仅用于科学研究或者工业应用等非医疗目的,不可用于人类或动物的临床诊断或治疗,非药用,非食用。
暂无评论
本公司的所有产品仅用于科学研究或者工业应用等非医疗目的,不可用于人类或动物的临床诊断或治疗,非药用,非食用。
中文


发表回复