别名:CF; MRP7; ABC35; ABCC7; CFTR/MRP; TNR-CFTR; dJ760C5.1应用:IHC
反应种属:Human
规格:50μl/100μl
| Description |
|---|
| This gene encodes a member of the ATP-binding cassette (ABC) transporter superfamily. The encoded protein functions as a chloride channel, making it unique among members of this protein family, and controls ion and water secretion and absorption in epithelial tissues. Channel activation is mediated by cycles of regulatory domain phosphorylation, ATP-binding by the nucleotide-binding domains, and ATP hydrolysis. Mutations in this gene cause cystic fibrosis, the most common lethal genetic disorder in populations of Northern European descent. The most frequently occurring mutation in cystic fibrosis, DeltaF508, results in impaired folding and trafficking of the encoded protein. Multiple pseudogenes have been identified in the human genome. |
| Specification | |
|---|---|
| Aliases | CF; MRP7; ABC35; ABCC7; CFTR/MRP; TNR-CFTR; dJ760C5.1 |
| Swissprot | P13569 |
| Host/Isotype | Rabbit IgG |
| Storage | Store at 4°C short term. Aliquot and store at -20°C long term. Avoid freeze/thaw cycles. |
| Species Reactivity | Human |
| Immunogen | Synthetic peptide of human CFTR |
| Formulation | pH7.4 PBS, 0.05% NaN3, 40% Glycerol |
| Application | |
|---|---|
| IHC | 1/50-1/200 |
| ELISA | 1/5000-1/10000 |
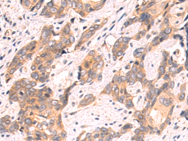
![]() |
The image is immunohistochemistry of paraffin-embedded Human colorectal cancer tissue using P03812(CFTR Antibody) at dilution 1/50. (Original magnification: ×200) |
![]() |
The image is immunohistochemistry of paraffin-embedded Human cervical cancer tissue using P03812(CFTR Antibody) at dilution 1/50. (Original magnification: ×200) |
本公司的所有产品仅用于科学研究或者工业应用等非医疗目的,不可用于人类或动物的临床诊断或治疗,非药用,非食用。
暂无评论
本公司的所有产品仅用于科学研究或者工业应用等非医疗目的,不可用于人类或动物的临床诊断或治疗,非药用,非食用。
中文


发表回复