别名:CAMP; CHAMP; MRD40; ZNF828; C13orf8应用:IHC
反应种属:Human, Mouse
规格:50μl/100μl
| Description |
|---|
| CHAMP1 (chromosome alignment maintaining phosphoprotein 1), also known as ZNF828 or C13orf8, is a 812 amino acid protein containing one C2H2-type zinc finger. CHAMP1 is required for the proper alignment of chromosomes during metaphase, undergoing CDK1-dependent phosphorylation at multiple sites during mitosis. The phosphorylation counteracts the negative chromosomal alignment regulation of the zinc-finger domain of CHAMP1. One region of CHAMP1, the FPE region, is responsible for spindle and kinetochore localization, which is essential for proper chromosome alignment. CHAMP1 interacts with MAD2L2, PGOZ, CBX1, CBX3 and CBX5, and may recruit CENPE and CENPF to the kinetochore. The CHAMP1 gene is located on chromosome 13 and is conserved in chimpanzee, Rhesus monkey, dog, cow, mouse, rat and chicken. |
| Specification | |
|---|---|
| Aliases | CAMP; CHAMP; MRD40; ZNF828; C13orf8 |
| Swissprot | Q96JM3 |
| Host/Isotype | Rabbit IgG |
| Storage | Store at 4°C short term. Aliquot and store at -20°C long term. Avoid freeze/thaw cycles. |
| Species Reactivity | Human, Mouse |
| Immunogen | Synthetic peptide of human CHAMP1 |
| Formulation | pH7.4 PBS, 0.05% NaN3, 40% Glycerol |
| Application | |
|---|---|
| IHC | 1/30-1/150 |
| ELISA | 1/5000-1/10000 |
![]() |
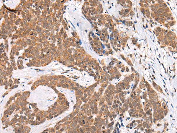
The image is immunohistochemistry of paraffin-embedded Human colorectal cancer tissue using P12978(CHAMP1 Antibody) at dilution 1/40. (Original magnification: ×200) |
![]() |
The image is immunohistochemistry of paraffin-embedded Human thyroid cancer tissue using P12978(CHAMP1 Antibody) at dilution 1/40. (Original magnification: ×200) |
本公司的所有产品仅用于科学研究或者工业应用等非医疗目的,不可用于人类或动物的临床诊断或治疗,非药用,非食用。
暂无评论
本公司的所有产品仅用于科学研究或者工业应用等非医疗目的,不可用于人类或动物的临床诊断或治疗,非药用,非食用。
中文


发表回复