别名:Coiled-coil-helix-coiled-coil-helix domain-containing protein 2, mitochondrial, Aging-associated gene 10 protein, HCV NS2 trans-regulated protein, NS2TP, CHCHD2, C7orf17应用:WB,IHC,FCM
反应种属:Human, Mouse
规格:50μl/100μl
| Specification | |
|---|---|
| Aliases | Coiled-coil-helix-coiled-coil-helix domain-containing protein 2, mitochondrial, Aging-associated gene 10 protein, HCV NS2 trans-regulated protein, NS2TP, CHCHD2, C7orf17 |
| Entrez GeneID | 51142 |
| Swissprot | Q9Y6H1 |
| WB Predicted band size | 15.5kDa |
| Host/Isotype | Rabbit IgG |
| Storage | Store at 4°C short term. Aliquot and store at -20°C long term. Avoid freeze/thaw cycles. |
| Species Reactivity | Human, Mouse |
| Immunogen | This CHCHD2 antibody is generated from rabbits immunized with a KLH conjugated synthetic peptide between 74-103 amino acids from the Central region of human CHCHD2. |
| Formulation | Purified polyclonal antibody supplied in PBS with 0.05% sodium azide. This antibody is purified through a protein A column, followed by peptide affinity purification. |
| Application | |
|---|---|
| WB | 1/1000 |
| IHC | 1/100-1/500 |
| FCM | 1/10-1/50 |
![]() |
CHCHD2 Antibody (Center) (Cat. #P30723) western blot analysis in WiDr cell line lysates (35ug/lane).This demonstrates the CHCHD2 antibody detected the CHCHD2 protein (arrow). |
![]() |
CHCHD2 Antibody (Center) (Cat. #P30723) flow cytometric analysis of WiDr cells (right histogram) compared to a negative control cell (left histogram).FITC-conjugated goat-anti-rabbit secondary antibodies were used for the analysis. |
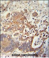
![]() |
CHCHD2 antibody (Center) (Cat. #P30723) immunohistochemistry analysis in formalin fixed and paraffin embedded human colon carcinoma followed by peroxidase conjugation of the secondary antibody and DAB staining. This data demonstrates the use of the CHCHD2 antibody (Center) for immunohistochemistry. Clinical relevance has not been evaluated. |
本公司的所有产品仅用于科学研究或者工业应用等非医疗目的,不可用于人类或动物的临床诊断或治疗,非药用,非食用。
暂无评论
本公司的所有产品仅用于科学研究或者工业应用等非医疗目的,不可用于人类或动物的临床诊断或治疗,非药用,非食用。
中文



发表回复