别名:RNF116; RNF196应用:WB,IHC
反应种属:Human
规格:50μl/100μl
| Description |
|---|
| This gene encodes an E3 ubiquitin-protein ligase required for the maintenance of the antephase checkpoint that regulates cell cycle entry into mitosis and, therefore, may play a key role in cell cycle progression and tumorigenesis. The encoded protein has an N-terminal forkhead-associated domain, a central RING-finger domain, and a cysteine-rich C-terminal region. Alternatively spliced transcript variants that encode different protein isoforms have been described. |
| Specification | |
|---|---|
| Aliases | RNF116; RNF196 |
| Swissprot | Q96EP1 |
| WB Predicted band size | 73 kDa |
| Host/Isotype | Rabbit IgG |
| Storage | Store at 4°C short term. Aliquot and store at -20°C long term. Avoid freeze/thaw cycles. |
| Species Reactivity | Human |
| Immunogen | Synthetic peptide of human CHFR |
| Formulation | pH7.4 PBS, 0.05% NaN3, 40% Glycerol |
| Application | |
|---|---|
| WB | 1/200-1/1000 |
| IHC | 1/20-1/100 |
| ELISA | 1/5000-1/10000 |
![]() |
Gel: 8%SDS-PAGE, Lysate: 40 μg, Lane 1-6: Hela, Jurkat, A549, HepG2, 293T and 231 cell lysates, Primary antibody: P13137(CHFR Antibody) at dilution 1/300, Secondary antibody: Goat anti rabbit IgG at 1/8000 dilution, Exposure time: 10 seconds |
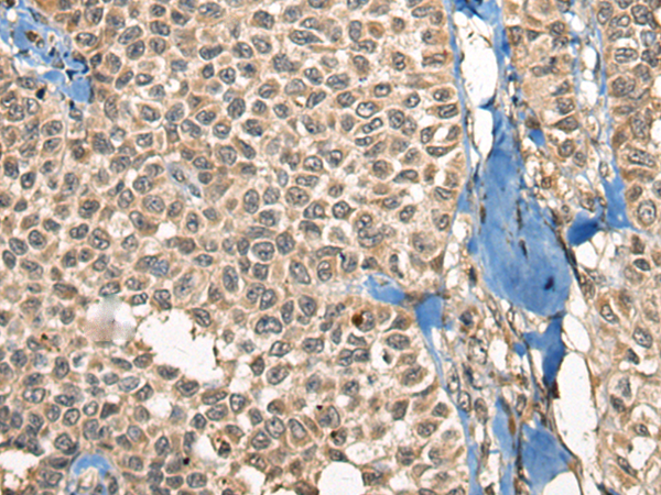
![]() |
The image is immunohistochemistry of paraffin-embedded Human ovarian cancer tissue using P13137(CHFR Antibody) at dilution 1/20. (Original magnification: ×200) |
本公司的所有产品仅用于科学研究或者工业应用等非医疗目的,不可用于人类或动物的临床诊断或治疗,非药用,非食用。
暂无评论
本公司的所有产品仅用于科学研究或者工业应用等非医疗目的,不可用于人类或动物的临床诊断或治疗,非药用,非食用。
中文


发表回复