别名:CHEK2; CDS1; CHK2; RAD53; Serine/threonine-protein kinase Chk2; CHK2 checkpoint homolog; Cds1 homolog; Hucds1; hCds1; Checkpoint kinase 2应用:WB,IHC,ICC,IP
反应种属:Human
规格:50μl/100μl
| Description |
|---|
| These are known to be preferred sites for phosphorylation by ATM/ATR kinases. After DNA damage by ionizing radiation (IR), UV irradiation, or hydroxyurea treatment, Thr68 and other sites in this region become phosphorylated by ATM/ATR. The SQ/TQ cluster domain, therefore, seems to have a regulatory function. |
| Specification | |
|---|---|
| Aliases | CHEK2; CDS1; CHK2; RAD53; Serine/threonine-protein kinase Chk2; CHK2 checkpoint homolog; Cds1 homolog; Hucds1; hCds1; Checkpoint kinase 2 |
| Entrez GeneID | 11200 |
| Swissprot | O96017 |
| WB Predicted band size | Calculated MW: 61 kDa; Observed MW: 61 kDa |
| Host/Isotype | Rabbit IgG |
| Storage | Store at 4°C short term. Aliquot and store at -20°C long term. Avoid freeze/thaw cycles. |
| Species Reactivity | Human |
| Immunogen | A synthesized peptide derived from human Chk2 |
| Formulation | Rabbit IgG in phosphate buffered saline , pH 7.4, 150mM NaCl, 0.02% sodium azide and 50% glycerol. |
| Application | |
|---|---|
| IP | 1/20 |
| WB | 1/500-1/1000 |
| IHC | 1/50-1/100 |
| ICC | 1/50-1/200 |
![]() |
Western blot analysis of Chk2 in (1) HeLa lysates; (2) 293T lysates using Chk2 antibody. |
![]() |
Immunofluorescence analysis of Chk2 in Hela using Chk2 antibody. |
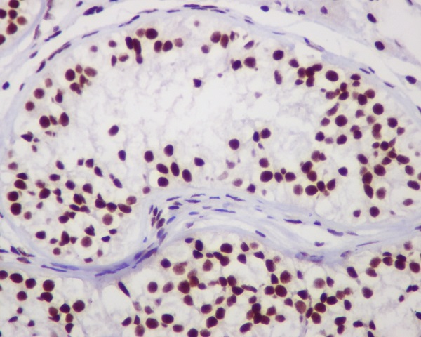
![]() |
Immunohistochemistry analysis of paraffin-embedded Human testis using Chk2 antibody.High-pressure and temperature Sodium Citrate pH 6.0 was used for antigen retrieval. |
本公司的所有产品仅用于科学研究或者工业应用等非医疗目的,不可用于人类或动物的临床诊断或治疗,非药用,非食用。
暂无评论
本公司的所有产品仅用于科学研究或者工业应用等非医疗目的,不可用于人类或动物的临床诊断或治疗,非药用,非食用。
中文



发表回复