别名:Charged multivesicular body protein 4b, Chromatin-modifying protein 4b, CHMP4b, SNF7 homolog associated with Alix 1, SNF7-2, hSnf7-2, Vacuolar protein sorting-associated protein 32-2, Vps32-2, hVps32-2, CHMP4B, C20orf178, SHAX1应用:WB,IHC,FCM
反应种属:Human
规格:50μl/100μl
| Description |
|---|
| CHMP4B is a member of the chromatin-modifying protein/charged multivesicular body protein (CHMP) protein family. The protein is part of the endosomal sorting complex required for transport (ESCRT) complex III (ESCRT-III), which functions in the sorting of endocytosed cell-surface receptors into multivesicular endosomes. The ESCRT machinery also functions in the final abscisson stage of cytokinesis and in the budding of enveloped viruses such as HIV-1. The three proteins of the CHMP4 subfamily interact with programmed cell death 6 interacting protein (PDCD6IP, also known as ALIX), which also functions in the ESCRT pathway. The CHMP4 proteins assemble into membrane-attached 5-nm filaments that form circular scaffolds and promote or stabilize outward budding. These polymers are proposed to help generate the luminal vesicles of multivesicular bodies. |
| Specification | |
|---|---|
| Aliases | Charged multivesicular body protein 4b, Chromatin-modifying protein 4b, CHMP4b, SNF7 homolog associated with Alix 1, SNF7-2, hSnf7-2, Vacuolar protein sorting-associated protein 32-2, Vps32-2, hVps32-2, CHMP4B, C20orf178, SHAX1 |
| Entrez GeneID | 128866 |
| Swissprot | Q9H444 |
| WB Predicted band size | 25.0kDa |
| Host/Isotype | Rabbit IgG |
| Storage | Store at 4°C short term. Aliquot and store at -20°C long term. Avoid freeze/thaw cycles. |
| Species Reactivity | Human |
| Immunogen | This CHMP4B antibody is generated from rabbits immunized with a KLH conjugated synthetic peptide between 51-79 amino acids from the N-terminal region of human CHMP4B. |
| Formulation | Purified polyclonal antibody supplied in PBS with 0.05% sodium azide. This antibody is purified through a protein A column, followed by peptide affinity purification. |
| Application | |
|---|---|
| WB | 1/1000 |
| IHC | 1/100-1/500 |
| FCM | 1/10-1/50 |
![]() |
Western blot analysis of CHMP4B Antibody (N-term) (Cat. #P30507) in SK-BR-3 cell line lysates (35ug/lane).CHMP4B (arrow) was detected using the purified Pab. |
![]() |
CHMP4B Antibody (N-term) (Cat. #P30507) flow cytometric analysis of MCF-7 cells (bottom histogram) compared to a negative control cell (top histogram).FITC-conjugated goat-anti-rabbit secondary antibodies were used for the analysis. |
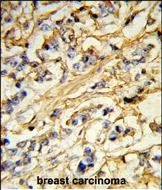
![]() |
Formalin-fixed and paraffin-embedded human breast carcinoma reacted with CHMP4B Antibody (N-term), which was peroxidase-conjugated to the secondary antibody, followed by DAB staining. This data demonstrates the use of this antibody for immunohistochemistry; clinical relevance has not been evaluated. |
本公司的所有产品仅用于科学研究或者工业应用等非医疗目的,不可用于人类或动物的临床诊断或治疗,非药用,非食用。
暂无评论
本公司的所有产品仅用于科学研究或者工业应用等非医疗目的,不可用于人类或动物的临床诊断或治疗,非药用,非食用。
中文



发表回复