别名:Chondroitin sulfate synthase 2, Chondroitin glucuronyltransferase 2, Chondroitin-polymerizing factor, ChPF, Glucuronosyl-N-acetylgalactosaminyl-proteoglycan 4-beta-N-acetylgalactosaminyltransferase II, N-acetylgalactosaminyl-proteoglycan 3-beta-glucuronosyltransferase II, N-acetylgalactosaminyltransferase 2, CHPF, CSS2应用:WB,IHC,FCM
反应种属:Human, Mouse
规格:50μl/100μl
| Description |
|---|
| CHPF is a protein that has both beta-1,3-glucuronic acid and beta-1,4-N-acetylgalactosamine transferase activity. Transfers glucuronic acid (GlcUA) from UDP-GlcUA and N-acetylgalactosamine (GalNAc) from UDP-GalNAc to the non-reducing end of the elongating chondroitin polymer. |
| Specification | |
|---|---|
| Aliases | Chondroitin sulfate synthase 2, Chondroitin glucuronyltransferase 2, Chondroitin-polymerizing factor, ChPF, Glucuronosyl-N-acetylgalactosaminyl-proteoglycan 4-beta-N-acetylgalactosaminyltransferase II, N-acetylgalactosaminyl-proteoglycan 3-beta-glucuronosyltransferase II, N-acetylgalactosaminyltransferase 2, CHPF, CSS2 |
| Entrez GeneID | 79586 |
| Swissprot | Q8IZ52 |
| WB Predicted band size | 85.5kDa |
| Host/Isotype | Rabbit IgG |
| Storage | Store at 4°C short term. Aliquot and store at -20°C long term. Avoid freeze/thaw cycles. |
| Species Reactivity | Human, Mouse |
| Immunogen | This CHPF antibody is generated from rabbits immunized with a KLH conjugated synthetic peptide between 327-354 amino acids from the Central region of human CHPF. |
| Formulation | Purified polyclonal antibody supplied in PBS with 0.05% sodium azide. This antibody is purified through a protein A column, followed by peptide affinity purification. |
| Application | |
|---|---|
| WB | 1/1000 |
| IHC | 1/100-1/500 |
| FCM | 1/10-1/50 |
![]() |
Western blot analysis of CHPF Antibody (Center) (Cat. #P30447) in MDA-MB435, MCF-7, HepG2, A375 cell line and mouse testis tissue lysates (35ug/lane). CHPF (arrow) was detected using the purified Pab. |
![]() |
CHPF Antibody (Center) (Cat. #P30447) flow cytometry analysis of MCF-7 cells (bottom histogram) compared to a negative control cell (top histogram).FITC-conjugated goat-anti-rabbit secondary antibodies were used for the analysis. |
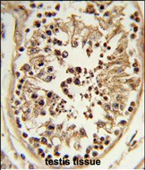
![]() |
Formalin-fixed and paraffin-embedded human testis tissue reacted with CHPF Antibody (Center), which was peroxidase-conjugated to the secondary antibody, followed by DAB staining. This data demonstrates the use of this antibody for immunohistochemistry; clinical relevance has not been evaluated. |
本公司的所有产品仅用于科学研究或者工业应用等非医疗目的,不可用于人类或动物的临床诊断或治疗,非药用,非食用。
暂无评论
本公司的所有产品仅用于科学研究或者工业应用等非医疗目的,不可用于人类或动物的临床诊断或治疗,非药用,非食用。
中文



发表回复