别名:Neuronal acetylcholine receptor subunit alpha-10, Nicotinic acetylcholine receptor subunit alpha-10, NACHR alpha-10, CHRNA10, NACHRA10应用:WB,IHC
反应种属:Human
规格:50μl/100μl
| Description |
|---|
| CHRNA10 is an ionotropic receptor with a probable role in the modulation of auditory stimuli. Agonist binding may induce an extensive change in conformation that affects all subunits and leads to opening of an ion-conducting channel across the plasma membrane. The channel is permeable to a range of divalent cations including calcium, the influx of which may activate a potassium current which hyperpolarizes the cell membrane. In the ear, this may lead to a reduction in basilar membrane motion, altering the activity of auditory nerve fibers and reducing the range of dynamic hearing. This may protect against acoustic trauma. |
| Specification | |
|---|---|
| Aliases | Neuronal acetylcholine receptor subunit alpha-10, Nicotinic acetylcholine receptor subunit alpha-10, NACHR alpha-10, CHRNA10, NACHRA10 |
| Entrez GeneID | 57053 |
| Swissprot | Q9GZZ6 |
| WB Predicted band size | 49.7kDa |
| Host/Isotype | Rabbit IgG |
| Storage | Store at 4°C short term. Aliquot and store at -20°C long term. Avoid freeze/thaw cycles. |
| Species Reactivity | Human |
| Immunogen | This CHRNA10 antibody is generated from rabbits immunized with a KLH conjugated synthetic peptide between 179-206 amino acids from the Central region of human CHRNA10. |
| Formulation | Purified polyclonal antibody supplied in PBS with 0.05% sodium azide. This antibody is purified through a protein A column, followed by peptide affinity purification. |
| Application | |
|---|---|
| WB | 1/1000 |
| IHC | 1/100-1/500 |
![]() |
CHRNA10 Antibody (Center) (Cat. #P31050) western blot analysis in NCI-H292,MDA-MB453,ZR-75-1 cell line lysates (35ug/lane).This demonstrates the CHRNA10 antibody detected the CHRNA10 protein (arrow). |
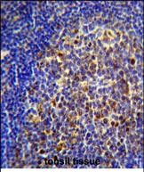
![]() |
CHRNA10 Antibody (Center) (Cat. #P31050)immunohistochemistry analysis in formalin fixed and paraffin embedded human tonsil tissue followed by peroxidase conjugation of the secondary antibody and DAB staining.This data demonstrates the use of CHRNA10 Antibody (Center) for immunohistochemistry. Clinical relevance has not been evaluated. |
本公司的所有产品仅用于科学研究或者工业应用等非医疗目的,不可用于人类或动物的临床诊断或治疗,非药用,非食用。
暂无评论
本公司的所有产品仅用于科学研究或者工业应用等非医疗目的,不可用于人类或动物的临床诊断或治疗,非药用,非食用。
中文


发表回复