别名:LNCR2, PAOD2, NACHRA3应用:WB,IHC
反应种属:Human, Mouse, Rat
规格:50μl/100μl
| Description |
|---|
| This locus encodes a member of the nicotinic acetylcholine receptor family of proteins. Members of this family of proteins form pentameric complexes comprised of both alpha and beta subunits. This locus encodes an alpha-type subunit, as it contains characteristic adjacent cysteine residues. The encoded protein is a ligand-gated ion channel that likely plays a role in neurotransmission. Polymorphisms in this gene have been associated with an increased risk of smoking initiation and an increased susceptibility to lung cancer. Alternatively spliced transcript variants have been described. |
| Specification | |
|---|---|
| Aliases | LNCR2, PAOD2, NACHRA3 |
| Swissprot | P32297 |
| WB Predicted band size | 55 kDa |
| Host/Isotype | Rabbit IgG |
| Storage | Store at 4°C short term. Aliquot and store at -20°C long term. Avoid freeze/thaw cycles. |
| Species Reactivity | Human, Mouse, Rat |
| Immunogen | Synthetic peptide of human CHRNA3 |
| Formulation | pH7.4 PBS, 0.05% NaN3, 40% Glycerol |
| Application | |
|---|---|
| WB | 1/1000-1/5000 |
| IHC | 1/15-1/50 |
| ELISA | 1/2000-1/10000 |
![]() |
Gel: 10%SDS-PAGE, Lysate: 40 μg, Lane: Hela cells, Primary antibody: P11049(CHRNA3 Antibody) at dilution 1/600, Secondary antibody: Goat anti rabbit IgG at 1/8000 dilution, Exposure time: 1 minute |
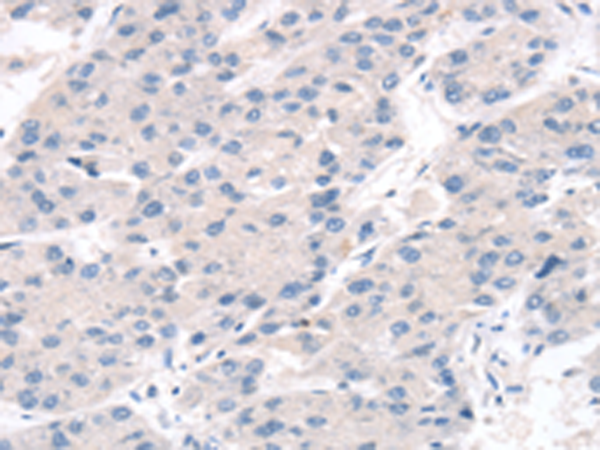
![]() |
The image is immunohistochemistry of paraffin-embedded Human ovarian cancer tissue using P11049(CHRNA3 Antibody) at dilution 1/10. (Original magnification: ×200) |
本公司的所有产品仅用于科学研究或者工业应用等非医疗目的,不可用于人类或动物的临床诊断或治疗,非药用,非食用。
暂无评论
本公司的所有产品仅用于科学研究或者工业应用等非医疗目的,不可用于人类或动物的临床诊断或治疗,非药用,非食用。
中文


发表回复