别名:LNCR2应用:IHC
反应种属:Human, Rat
规格:50μl/100μl
| Description |
|---|
| The protein encoded by this gene is a nicotinic acetylcholine receptor subunit and a member of a superfamily of ligand-gated ion channels that mediate fast signal transmission at synapses. These receptors are thought to be heteropentamers composed of separate but similar subunits. Defects in this gene have been linked to susceptibility to lung cancer type 2 (LNCR2).[provided by RefSeq, Jun 2010] |
| Specification | |
|---|---|
| Aliases | LNCR2 |
| Swissprot | P30532 |
| Host/Isotype | Rabbit IgG |
| Storage | Store at 4°C short term. Aliquot and store at -20°C long term. Avoid freeze/thaw cycles. |
| Species Reactivity | Human, Rat |
| Immunogen | Synthetic peptide of human CHRNA5 |
| Formulation | pH7.4 PBS, 0.05% NaN3, 40% Glycerol |
| Application | |
|---|---|
| IHC | 1/40-1/250 |
| ELISA | 1/5000-1/10000 |
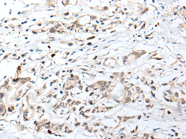
![]() |
The image is immunohistochemistry of paraffin-embedded Human esophagus cancer tissue using P05810(CHRNA5 Antibody) at dilution 1/50. (Original magnification: ×200) |
![]() |
The image is immunohistochemistry of paraffin-embedded Human gastric cancer tissue using P05810(CHRNA5 Antibody) at dilution 1/50. (Original magnification: ×200) |
本公司的所有产品仅用于科学研究或者工业应用等非医疗目的,不可用于人类或动物的临床诊断或治疗,非药用,非食用。
暂无评论
本公司的所有产品仅用于科学研究或者工业应用等非医疗目的,不可用于人类或动物的临床诊断或治疗,非药用,非食用。
中文


发表回复