别名:CHNRA6应用:IHC
反应种属:Human
规格:50μl/100μl
| Description |
|---|
| This gene encodes an alpha subunit of neuronal nicotinic acetylcholine receptors. These receptors consist of five subunits and function as ion channels involved in neurotransmission. The encoded protein is a subunit of neuronal nicotinic acetylcholine receptors that mediate dopaminergic neurotransmission and are activated by acetylcholine and exogenous nicotine. Alternatively spliced transcript variants have been observed for this gene. Single nucleotide polymorphisms in this gene have been associated with both nicotine and alcohol dependence. |
| Specification | |
|---|---|
| Aliases | CHNRA6 |
| Swissprot | Q15825 |
| Host/Isotype | Rabbit IgG |
| Storage | Store at 4°C short term. Aliquot and store at -20°C long term. Avoid freeze/thaw cycles. |
| Species Reactivity | Human |
| Immunogen | Synthetic peptide of human CHRNA6 |
| Formulation | pH7.4 PBS, 0.05% NaN3, 40% Glycerol |
| Application | |
|---|---|
| IHC | 1/10-1/50 |
| ELISA | 1/5000-1/10000 |
![]() |
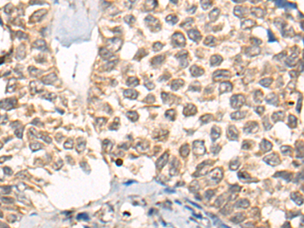
The image is immunohistochemistry of paraffin-embedded Human thyroid cancer tissue using P12578(CHRNA6 Antibody) at dilution 1/25. (Original magnification: ×200) |
![]() |
The image is immunohistochemistry of paraffin-embedded Human ovarian cancer tissue using P12578(CHRNA6 Antibody) at dilution 1/25. (Original magnification: ×200) |
本公司的所有产品仅用于科学研究或者工业应用等非医疗目的,不可用于人类或动物的临床诊断或治疗,非药用,非食用。
暂无评论
本公司的所有产品仅用于科学研究或者工业应用等非医疗目的,不可用于人类或动物的临床诊断或治疗,非药用,非食用。
中文


发表回复