别名:NACHRA9; HSA243342应用:WB,IHC
反应种属:Human, Rat
规格:50μl/100μl
| Description |
|---|
| This gene is a member of the ligand-gated ionic channel family and nicotinic acetylcholine receptor gene superfamily. It encodes a plasma membrane protein that forms homo- or hetero-oligomeric divalent cation channels. This protein is involved in cochlea hair cell development and is also expressed in the outer hair cells (OHCs) of the adult cochlea. |
| Specification | |
|---|---|
| Aliases | NACHRA9; HSA243342 |
| Swissprot | Q9UGM1 |
| WB Predicted band size | 55 kDa |
| Host/Isotype | Rabbit IgG |
| Storage | Store at 4°C short term. Aliquot and store at -20°C long term. Avoid freeze/thaw cycles. |
| Species Reactivity | Human, Rat |
| Immunogen | Synthetic peptide of human CHRNA9 |
| Formulation | pH7.4 PBS, 0.05% NaN3, 40% Glycerol |
| Application | |
|---|---|
| WB | 1/200-1/1000 |
| IHC | 1/40-1/200 |
| ELISA | 1/5000-1/10000 |
![]() |
Gel: 8%SDS-PAGE, Lysate: 40 μg, Lane 1-2: Human cerebrum tissue and Human cerebella tissue lysates, Primary antibody: P12579(CHRNA9 Antibody) at dilution 1/400, Secondary antibody: Goat anti rabbit IgG at 1/8000 dilution, Exposure time: 30 seconds |
![]() |
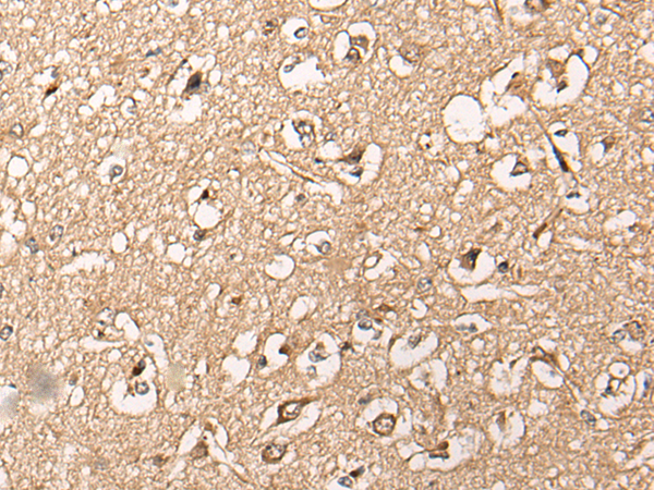
The image is immunohistochemistry of paraffin-embedded Human brain tissue using P12579(CHRNA9 Antibody) at dilution 1/50. (Original magnification: ×200) |
本公司的所有产品仅用于科学研究或者工业应用等非医疗目的,不可用于人类或动物的临床诊断或治疗,非药用,非食用。
暂无评论
本公司的所有产品仅用于科学研究或者工业应用等非医疗目的,不可用于人类或动物的临床诊断或治疗,非药用,非食用。
中文


发表回复