别名:chch; My015; C14orf52应用:IHC
反应种属:Human, Mouse
规格:50μl/100μl
| Description |
|---|
| CHURC1, also known as protein Churchill, is a 112 amino acid protein that plays a critical role in neural induction during embryogenesis. The fibroblast growth family of proteins (FGFs) has been identified as necessary factors in mesoderm formation and neural induction. CHURC1, a putative zinc finger protein, is a transcriptional activator that mediates FGF signaling. Furthermore, CHURC1 is thought to play a role in the regulation of cell movement. Although CHURC1 does not bind to DNA, it functions as a transcriptional regulator and a protein-interaction factor. Two isoforms of CHURC1 exist as a result of alternative splicing events. |
| Specification | |
|---|---|
| Aliases | chch; My015; C14orf52 |
| Swissprot | Q8WUH1 |
| Host/Isotype | Rabbit IgG |
| Storage | Store at 4°C short term. Aliquot and store at -20°C long term. Avoid freeze/thaw cycles. |
| Species Reactivity | Human, Mouse |
| Immunogen | Synthetic peptide of human CHURC1 |
| Formulation | pH7.4 PBS, 0.05% NaN3, 40% Glycerol |
| Application | |
|---|---|
| IHC | 1/25-1/100 |
| ELISA | 1/5000-1/10000 |
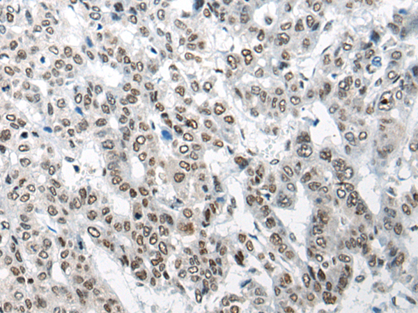
![]() |
The image is immunohistochemistry of paraffin-embedded Human ovarian cancer tissue using P13082(CHURC1 Antibody) at dilution 1/25. (Original magnification: ×200) |
![]() |
The image is immunohistochemistry of paraffin-embedded Human liver cancer tissue using P13082(CHURC1 Antibody) at dilution 1/25. (Original magnification: ×200) |
本公司的所有产品仅用于科学研究或者工业应用等非医疗目的,不可用于人类或动物的临床诊断或治疗,非药用,非食用。
暂无评论
本公司的所有产品仅用于科学研究或者工业应用等非医疗目的,不可用于人类或动物的临床诊断或治疗,非药用,非食用。
中文


发表回复