别名:CSNK2A1; CK2A1; Casein kinase II subunit alpha; CK II alpha应用:WB,IHC,FCM
反应种属:Human,Mouse,Rat
规格:50μl/100μl
| Description |
|---|
| Catalytic subunit of a constitutively active serine/threonine-protein kinase complex that phosphorylates a large number of substrates containing acidic residues C-terminal to the phosphorylated serine or threonine. Regulates numerous cellular processes, such as cell cycle progression, apoptosis and transcription, as well as viral infection. May act as a regulatory node which integrates and coordinates numerous signals leading to an appropriate cellular response. |
| Specification | |
|---|---|
| Aliases | CSNK2A1; CK2A1; Casein kinase II subunit alpha; CK II alpha |
| Entrez GeneID | 1457 |
| Swissprot | P68400 |
| WB Predicted band size | Calculated MW: 45 kDa; Observed MW: 45 kDa |
| Host/Isotype | Rabbit IgG |
| Storage | Store at 4°C short term. Aliquot and store at -20°C long term. Avoid freeze/thaw cycles. |
| Species Reactivity | Human,Mouse,Rat |
| Immunogen | A synthesized peptide derived from human CKII alpha |
| Formulation | Rabbit IgG in phosphate buffered saline , pH 7.4, 150mM NaCl, 0.02% sodium azide and 50% glycerol. |
| Application | |
|---|---|
| WB | 1/500-1/1000 |
| IHC | 1/50-1/100 |
| FCM | 1/50-1/100 |
![]() |
Western blot analysis of CKII alpha in HeLa lysates using CKII alpha antibody. |
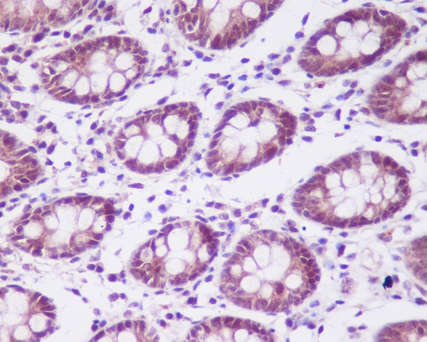
![]() |
Immunohistochemistry analysis of paraffin-embedded Human colon using CKII alpha antibody.High-pressure and temperature Sodium Citrate pH 6.0 was used for antigen retrieval. |
本公司的所有产品仅用于科学研究或者工业应用等非医疗目的,不可用于人类或动物的临床诊断或治疗,非药用,非食用。
暂无评论
本公司的所有产品仅用于科学研究或者工业应用等非医疗目的,不可用于人类或动物的临床诊断或治疗,非药用,非食用。
中文


发表回复