别名:Claudin-2, SP82, CLDN2应用:WB,IHC,FCM
反应种属:Human
规格:50μl/100μl
| Description |
|---|
| This gene product belongs to the claudin protein family whose members have been identified as major integral membrane proteins localized exclusively at tight junctions. Claudins are expressed in an organ-specific manner and regulate tissue-specific physiologic properties of tight junctions. This protein is expressed in the intestine. Alternatively spliced transcript variants with different 5′ untranslated region have been found for this gene. |
| Specification | |
|---|---|
| Aliases | Claudin-2, SP82, CLDN2 |
| Entrez GeneID | 9075 |
| Swissprot | P57739 |
| WB Predicted band size | 24.5kDa |
| Host/Isotype | Rabbit IgG |
| Storage | Store at 4°C short term. Aliquot and store at -20°C long term. Avoid freeze/thaw cycles. |
| Species Reactivity | Human |
| Immunogen | This CLDN2 antibody is generated from rabbits immunized with a KLH conjugated synthetic peptide between 174-201 amino acids from the C-terminal region of human CLDN2. |
| Formulation | Purified polyclonal antibody supplied in PBS with 0.05% sodium azide. This antibody is purified through a protein A column, followed by peptide affinity purification. |
| Application | |
|---|---|
| WB | 1/1000 |
| IHC | 1/100-1/500 |
| FCM | 1/10-1/50 |
![]() |
Western blot analysis of CLDN2 (arrow) using rabbit polyclonal CLDN2 Antibody (Y195) (Cat. #P31122). 293 cell lysates (2 ug/lane) either nontransfected (Lane 1) or transiently transfected (Lane 2) with the CLDN2 gene. |
![]() |
CLDN2 Antibody (C-term Y195) (Cat. #P31122) flow cytometric analysis of 293 cells (right histogram) compared to a negative control cell (left histogram).FITC-conjugated goat-anti-rabbit secondary antibodies were used for the analysis. |
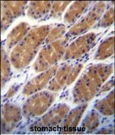
![]() |
CLDN2 Antibody (C-term Y195) (Cat. #P31122)immunohistochemistry analysis in formalin fixed and paraffin embedded human stomach tissue followed by peroxidase conjugation of the secondary antibody and DAB staining.This data demonstrates the use of CLDN2 Antibody (C-term Y195) for immunohistochemistry. Clinical relevance has not been evaluated. |
本公司的所有产品仅用于科学研究或者工业应用等非医疗目的,不可用于人类或动物的临床诊断或治疗,非药用,非食用。
暂无评论
本公司的所有产品仅用于科学研究或者工业应用等非医疗目的,不可用于人类或动物的临床诊断或治疗,非药用,非食用。
中文



发表回复