别名:CASP6; MCH2; Caspase-6; CASP-6; Apoptotic protease Mch-2应用:WB,IHC
反应种属:Human,Rat
规格:50μl/100μl
| Description |
|---|
| Caspase-6 (Mch2) is one of the major executioner caspases functioning in cellular apoptotic processes. Upon apoptotic stimulation, initiator caspases such as caspase-9 are cleaved and activated. The activated upstream caspases further process downstream executioner caspases, such as caspase-3 and caspase-6, by cleaving them into large and small subunits, thereby initiating a caspase cascade leading to apoptosis. One of the major targets for caspase-6 is the membrane associated protein lamin A. |
| Specification | |
|---|---|
| Aliases | CASP6; MCH2; Caspase-6; CASP-6; Apoptotic protease Mch-2 |
| Entrez GeneID | 839 |
| Swissprot | P55212 |
| WB Predicted band size | Calculated MW: 33 kDa; Observed MW: 20,35 kDa |
| Host/Isotype | Rabbit IgG |
| Storage | Store at 4°C short term. Aliquot and store at -20°C long term. Avoid freeze/thaw cycles. |
| Species Reactivity | Human,Rat |
| Immunogen | The antiserum was produced against synthesized peptide derived from human Caspase 6. AA range:130-179 |
| Formulation | Liquid in PBS containing 50% glycerol, 0.5% BSA and 0.02% sodium azide, pH 7.3. |
| Application | |
|---|---|
| WB | 1/500-1/1000 |
| IHC | 1/50-1/100 |
| ELISA | 1/10000 |
![]() |
Western blot analysis of Cleaved-Caspase 6 p18 in various lysates using Cleaved-Caspase 6 p18 antibody. |
![]() |
Western blot analysis of Cleaved-Caspase 6 p18 in 293 lysates using Cleaved-Caspase6 p18 (D179) antibody. |
![]() |
Western blot analysis of Cleaved-Caspase 6 p18 in 293 lysates treated with Etoposide using Cleaved-Caspase 6 p18 antibody.The lane on the right is blocked with the synthesized peptide. |
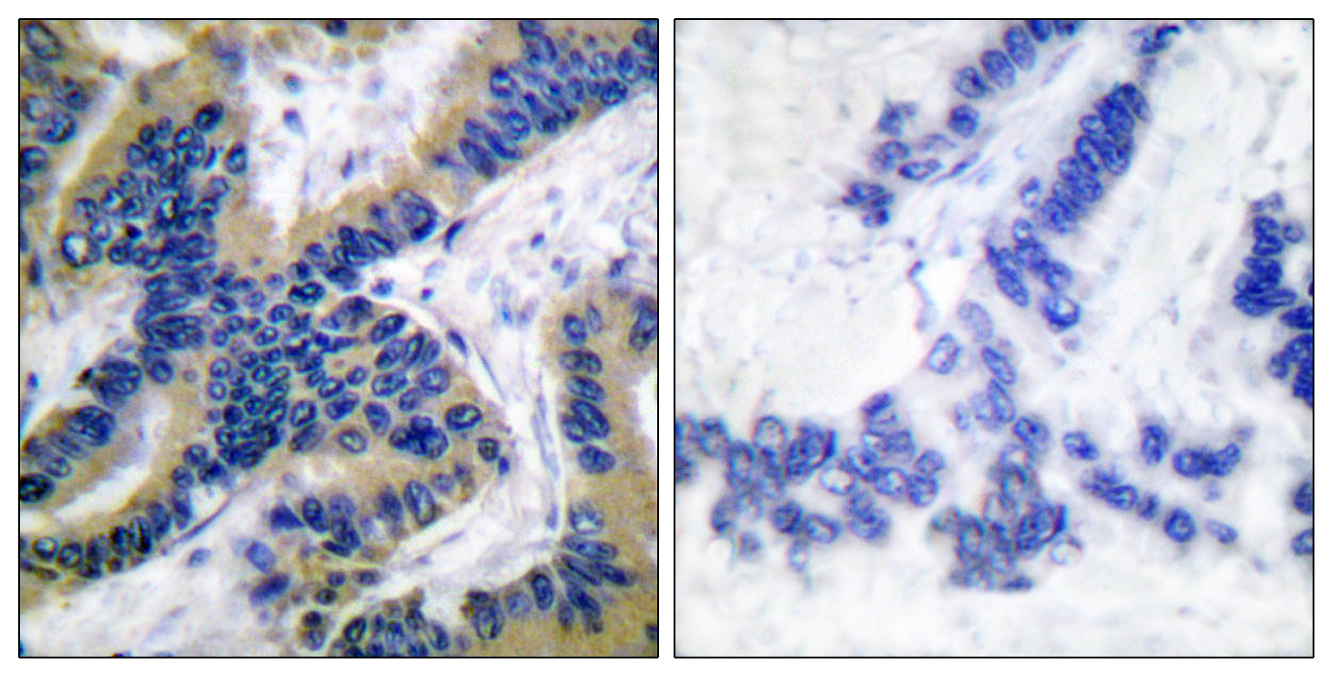
![]() |
Immunohistochemistry analysis of paraffin-embedded Human lung carcinoma tissue using Caspase 6 (Cleaved-Asp16, 2) antibody. High-pressure and temperature Sodium Citrate pH 6.0 was used for antigen retrieval. Sample with blocking peptide on the right. |
本公司的所有产品仅用于科学研究或者工业应用等非医疗目的,不可用于人类或动物的临床诊断或治疗,非药用,非食用。
暂无评论
本公司的所有产品仅用于科学研究或者工业应用等非医疗目的,不可用于人类或动物的临床诊断或治疗,非药用,非食用。
中文




发表回复