别名:BGR; CD369; CANDF4; SCARE2; DECTIN1; CLECSF12应用:WB,IHC
反应种属:Human
规格:50μl/100μl
| Description |
|---|
| This gene encodes a member of the C-type lectin/C-type lectin-like domain (CTL/CTLD) superfamily. The encoded glycoprotein is a small type II membrane receptor with an extracellular C-type lectin-like domain fold and a cytoplasmic domain with an immunoreceptor tyrosine-based activation motif. It functions as a pattern-recognition receptor that recognizes a variety of beta-1,3-linked and beta-1,6-linked glucans from fungi and plants, and in this way plays a role in innate immune response. Alternate transcriptional splice variants, encoding different isoforms, have been characterized. This gene is closely linked to other CTL/CTLD superfamily members on chromosome 12p13 in the natural killer gene complex region. |
| Specification | |
|---|---|
| Aliases | BGR; CD369; CANDF4; SCARE2; DECTIN1; CLECSF12 |
| Swissprot | Q9BXN2 |
| WB Predicted band size | 28 kDa |
| Host/Isotype | Rabbit IgG |
| Storage | Store at 4°C short term. Aliquot and store at -20°C long term. Avoid freeze/thaw cycles. |
| Species Reactivity | Human |
| Immunogen | Fusion protein of human CLEC7A |
| Formulation | pH7.4 PBS, 0.05% NaN3, 40% Glycerol |
| Application | |
|---|---|
| WB | 1/200-1/1000 |
| IHC | 1/50-1/200 |
| ELISA | 1/5000-1/10000 |
![]() |
Gel: 8%SDS-PAGE, Lysate: 40 μg, Lane: 231 cell lysate, Primary antibody: P07175(CLEC7A Antibody) at dilution 1/250, Secondary antibody: Goat anti rabbit IgG at 1/5000 dilution, Exposure time: 90 seconds |
![]() |
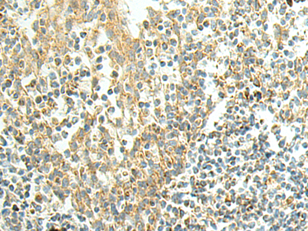
The image is immunohistochemistry of paraffin-embedded Human tonsil tissue using P07175(CLEC7A Antibody) at dilution 1/80. (Original magnification: ×200) |
![]() |
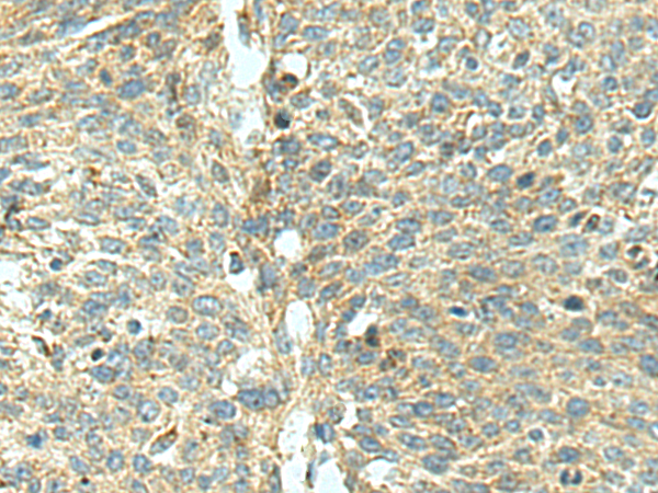
The image is immunohistochemistry of paraffin-embedded Human cervical cancer tissue using P07175(CLEC7A Antibody) at dilution 1/80. (Original magnification: ×200) |
本公司的所有产品仅用于科学研究或者工业应用等非医疗目的,不可用于人类或动物的临床诊断或治疗,非药用,非食用。
暂无评论
本公司的所有产品仅用于科学研究或者工业应用等非医疗目的,不可用于人类或动物的临床诊断或治疗,非药用,非食用。
中文



发表回复