别名:CLIP; CYLN2; WSCR3; WSCR4; WBSCR3; WBSCR4; CLIP-115应用:WB,IHC
反应种属:Human, Mouse, Rat
规格:50μl/100μl
| Description |
|---|
| The protein encoded by this gene belongs to the family of cytoplasmic linker proteins, which have been proposed to mediate the interaction between specific membranous organelles and microtubules. This protein was found to associate with both microtubules and an organelle called the dendritic lamellar body. This gene is hemizygously deleted in Williams syndrome, a multisystem developmental disorder caused by the deletion of contiguous genes at 7q11.23. Alternative splicing of this gene generates 2 transcript variants. |
| Specification | |
|---|---|
| Aliases | CLIP; CYLN2; WSCR3; WSCR4; WBSCR3; WBSCR4; CLIP-115 |
| Swissprot | Q9UDT6 |
| WB Predicted band size | 116 kDa |
| Host/Isotype | Rabbit IgG |
| Storage | Store at 4°C short term. Aliquot and store at -20°C long term. Avoid freeze/thaw cycles. |
| Species Reactivity | Human, Mouse, Rat |
| Immunogen | Synthetic peptide of human CLIP2 |
| Formulation | pH7.4 PBS, 0.05% NaN3, 40% Glycerol |
| Application | |
|---|---|
| WB | 1/200-1/1000 |
| IHC | 1/20-1/100 |
| ELISA | 1/5000-1/10000 |
![]() |
Gel: 6%SDS-PAGE, Lysate: 40 μg, Lane 1-2: LOVO and NIH/3T3 cell lysates, Primary antibody: P13223(CLIP2 Antibody) at dilution 1/300, Secondary antibody: Goat anti rabbit IgG at 1/8000 dilution, Exposure time: 40 seconds |
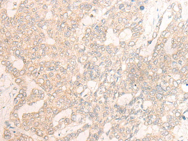
![]() |
The image is immunohistochemistry of paraffin-embedded Human liver cancer tissue using P13223(CLIP2 Antibody) at dilution 1/20. (Original magnification: ×200) |
![]() |
The image is immunohistochemistry of paraffin-embedded Human ovarian cancer tissue using P13223(CLIP2 Antibody) at dilution 1/20. (Original magnification: ×200) |
本公司的所有产品仅用于科学研究或者工业应用等非医疗目的,不可用于人类或动物的临床诊断或治疗,非药用,非食用。
暂无评论
本公司的所有产品仅用于科学研究或者工业应用等非医疗目的,不可用于人类或动物的临床诊断或治疗,非药用,非食用。
中文



发表回复