别名:应用:IHC
反应种属:Human, Mouse
规格:50μl/100μl
| Description |
|---|
| This gene encodes a dual specificity protein kinase that phosphorylates serine/threonine and tyrosine-containing substrates. Activity of this protein regulates serine- and arginine-rich (SR) proteins of the spliceosomal complex, thereby influencing alternative transcript splicing. Chromosomal translocations have been characterized between this locus and the PAFAH1B3 (platelet-activating factor acetylhydrolase 1b, catalytic subunit 3 (29kDa)) gene on chromosome 19, resulting in the production of a fusion protein. Note that this gene is distinct from the TELO2 gene (GeneID:9894), which shares the CLK2 alias, but encodes a protein that is involved in telomere length regulation. There is a pseudogene for this gene on chromosome 7. Alternative splicing results in multiple transcript variants. |
| Specification | |
|---|---|
| Swissprot | P49760 |
| Host/Isotype | Rabbit IgG |
| Storage | Store at 4°C short term. Aliquot and store at -20°C long term. Avoid freeze/thaw cycles. |
| Species Reactivity | Human, Mouse |
| Immunogen | Synthetic peptide of human CLK2 |
| Formulation | pH7.4 PBS, 0.05% NaN3, 40% Glycerol |
| Application | |
|---|---|
| IHC | 1/30-1/150 |
| ELISA | 1/5000-1/10000 |
![]() |
The image is immunohistochemistry of paraffin-embedded Human thyroid cancer tissue using P04626(CLK2 Antibody) at dilution 1/45. (Original magnification: ×200) |
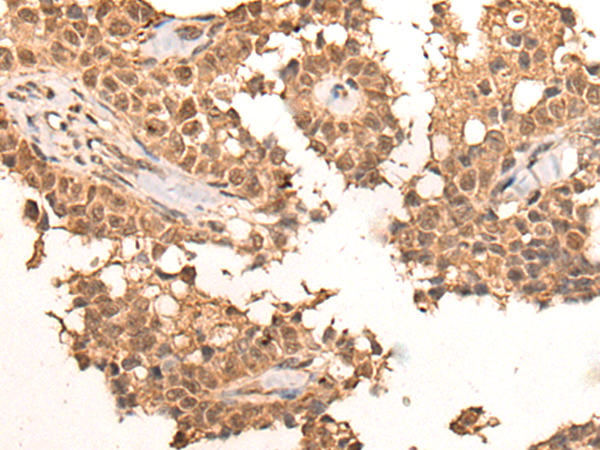
![]() |
The image is immunohistochemistry of paraffin-embedded Human ovarian cancer tissue using P04626(CLK2 Antibody) at dilution 1/45. (Original magnification: ×200) |
本公司的所有产品仅用于科学研究或者工业应用等非医疗目的,不可用于人类或动物的临床诊断或治疗,非药用,非食用。
暂无评论
本公司的所有产品仅用于科学研究或者工业应用等非医疗目的,不可用于人类或动物的临床诊断或治疗,非药用,非食用。
中文


发表回复