别名:CMRF35-like molecule 1, CLM-1, CD300 antigen-like family member F, Immune receptor expressed on myeloid cells 1, IREM-1, Immunoglobulin superfamily member 13, IgSF13, NK inhibitory receptor, CD300f, CD300LF, CD300F, CLM1, IGSF13, IREM1, NKIR应用:WB,IHC
反应种属:Human
规格:50μl/100μl
| Description |
|---|
| CLM1 is an inhibitory receptor of the Ig superfamily expressed on myeloid cells. It mediates negative regulatory signals by recruiting SHP1 (PTPN6; MIM 176883) or SHIP. |
| Specification | |
|---|---|
| Aliases | CMRF35-like molecule 1, CLM-1, CD300 antigen-like family member F, Immune receptor expressed on myeloid cells 1, IREM-1, Immunoglobulin superfamily member 13, IgSF13, NK inhibitory receptor, CD300f, CD300LF, CD300F, CLM1, IGSF13, IREM1, NKIR |
| Entrez GeneID | 146722 |
| Swissprot | Q8TDQ1 |
| WB Predicted band size | 32.3kDa |
| Host/Isotype | Rabbit IgG |
| Storage | Store at 4°C short term. Aliquot and store at -20°C long term. Avoid freeze/thaw cycles. |
| Species Reactivity | Human |
| Immunogen | This CLM1 antibody is generated from rabbits immunized with a KLH conjugated synthetic peptide between 56-84 amino acids from the N-terminal region of human CLM1. |
| Formulation | Purified polyclonal antibody supplied in PBS with 0.05% sodium azide. This antibody is purified through a protein A column, followed by peptide affinity purification. |
| Application | |
|---|---|
| WB | 1/1000 |
| IHC | 1/100-1/500 |
![]() |
Western blot analysis of CLM1 Antibody (N-term) (Cat. #P30590) in K562 cell line lysates (35ug/lane). CLM1 (arrow) was detected using the purified Pab. |
![]() |
CLM1 Antibody (N-term) (Cat. #P30590) flow cytometric analysis of K562 cells (right histogram) compared to a negative control cell (left histogram).FITC-conjugated goat-anti-rabbit secondary antibodies were used for the analysis. |
![]() |
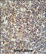
CLM1 Antibody (N-term) (Cat. #P30590) immunohistochemistry analysis in formalin fixed and paraffin embedded human lymph tissue followed by peroxidase conjugation of the secondary antibody and DAB staining. This data demonstrates the use of the CLM1 Antibody (N-term) for immunohistochemistry. Clinical relevance has not been evaluated. |
本公司的所有产品仅用于科学研究或者工业应用等非医疗目的,不可用于人类或动物的临床诊断或治疗,非药用,非食用。
暂无评论
本公司的所有产品仅用于科学研究或者工业应用等非医疗目的,不可用于人类或动物的临床诊断或治疗,非药用,非食用。
中文



发表回复