别名:NCL应用:WB,IHC
反应种属:Human, Mouse
规格:50μl/100μl
| Description |
|---|
| This gene is one of eight which have been associated with neuronal ceroid lipofuscinoses (NCL). Also referred to as Batten disease, NCL comprises a class of autosomal recessive, neurodegenerative disorders affecting children. The genes responsible likely encode proteins involved in the degradation of post-translationally modified proteins in lysosomes. The primary defect in NCL disorders is thought to be associated with lysosomal storage function. |
| Specification | |
|---|---|
| Aliases | NCL |
| Swissprot | O75503 |
| WB Predicted band size | 41 kDa |
| Host/Isotype | Rabbit IgG |
| Storage | Store at 4°C short term. Aliquot and store at -20°C long term. Avoid freeze/thaw cycles. |
| Species Reactivity | Human, Mouse |
| Immunogen | Synthetic peptide of human CLN5 |
| Formulation | pH7.4 PBS, 0.05% NaN3, 40% Glycerol |
| Application | |
|---|---|
| WB | 1/200-1/1000 |
| IHC | 1/20-1/100 |
| ELISA | 1/5000-1/10000 |
![]() |
Gel: 8%SDS-PAGE, Lysate: 40 μg, Lane: 231 cell lysate, Primary antibody: P13095(CLN5 Antibody) at dilution 1/200, Secondary antibody: Goat anti rabbit IgG at 1/8000 dilution, Exposure time: 10 seconds |
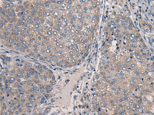
![]() |
The image is immunohistochemistry of paraffin-embedded Human liver cancer tissue using P13095(CLN5 Antibody) at dilution 1/20. (Original magnification: ×200) |
本公司的所有产品仅用于科学研究或者工业应用等非医疗目的,不可用于人类或动物的临床诊断或治疗,非药用,非食用。
暂无评论
本公司的所有产品仅用于科学研究或者工业应用等非医疗目的,不可用于人类或动物的临床诊断或治疗,非药用,非食用。
中文


发表回复