别名:CRR9应用:WB,IHC
反应种属:Human
规格:50μl/100μl
| Description |
|---|
| Cleft lip and palate transmembrane protein 1-like protein (CLPTM1-like protein), also known as cisplatin resistance-related protein 9 (CRR9p), is a protein that in humans is encoded by the CLPTM1L gene. CRR9p is associated with cisplatin-induced apoptosis. CLPTM1L, which lies within a cancer susceptibility locus on chromosome 5 (5p15.33), has been found to be commonly over-expressed in lung tumors and to confer resistance to apoptosis caused by genotoxic agents in association with up-regulation of the anti-apoptotic protein, Bcl-xL. |
| Specification | |
|---|---|
| Aliases | CRR9 |
| Swissprot | Q96KA5 |
| WB Predicted band size | 62 kDa |
| Host/Isotype | Rabbit IgG |
| Storage | Store at 4°C short term. Aliquot and store at -20°C long term. Avoid freeze/thaw cycles. |
| Species Reactivity | Human |
| Immunogen | Synthetic peptide of human CLPTM1L |
| Formulation | pH7.4 PBS, 0.05% NaN3, 40% Glycerol |
| Application | |
|---|---|
| WB | 1/200-1/1000 |
| IHC | 1/50-1/200 |
| ELISA | 1/1000-1/2000 |
![]() |
Gel: 8%SDS-PAGE, Lysate: 40 μg, Lane: K562 cell, Primary antibody: P04785(CLPTM1L Antibody) at dilution 1/200, Secondary antibody: Goat anti rabbit IgG at 1/8000 dilution, Exposure time: 30 seconds |
![]() |
The image is immunohistochemistry of paraffin-embedded Human thyroid cancer tissue using P04785(CLPTM1L Antibody) at dilution 1/60. (Original magnification: ×200) |
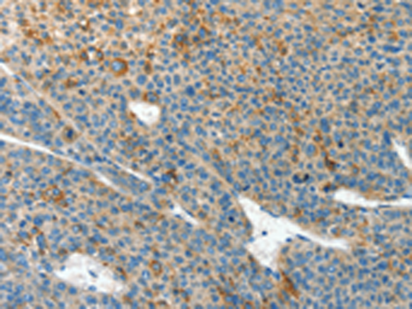
![]() |
The image is immunohistochemistry of paraffin-embedded Human liver cancer tissue using P04785(CLPTM1L Antibody) at dilution 1/60. (Original magnification: ×200) |
本公司的所有产品仅用于科学研究或者工业应用等非医疗目的,不可用于人类或动物的临床诊断或治疗,非药用,非食用。
暂无评论
本公司的所有产品仅用于科学研究或者工业应用等非医疗目的,不可用于人类或动物的临床诊断或治疗,非药用,非食用。
中文



发表回复