别名:ATP-dependent Clp protease ATP-binding subunit clpX-like, mitochondrial, CLPX应用:WB,IHC,FCM
反应种属:Human
规格:50μl/100μl
| Description |
|---|
| ATP-dependent specificity component of the Clp protease. It directs the protease to specific substrates. Can perform chaperone functions in the absence of clpP (By similarity). |
| Specification | |
|---|---|
| Aliases | ATP-dependent Clp protease ATP-binding subunit clpX-like, mitochondrial, CLPX |
| Entrez GeneID | 10845 |
| Swissprot | O76031 |
| WB Predicted band size | 69.2kDa |
| Host/Isotype | Rabbit IgG |
| Storage | Store at 4°C short term. Aliquot and store at -20°C long term. Avoid freeze/thaw cycles. |
| Species Reactivity | Human |
| Immunogen | This CLPX antibody is generated from rabbits immunized with a KLH conjugated synthetic peptide between 449-477 amino acids from the C-terminal region of human CLPX. |
| Formulation | Purified polyclonal antibody supplied in PBS with 0.05% sodium azide. This antibody is purified through a protein A column, followed by peptide affinity purification. |
| Application | |
|---|---|
| WB | 1/1000 |
| IHC | 1/100-1/500 |
| FCM | 1/10-1/50 |
![]() |
Western blot analysis of lysate from human heart tissue lysate, using CLPX Antibody (C-term)(Cat. #P30846). P30846 was diluted at 1:1000 at each lane. A goat anti-rabbit IgG H&L(HRP) at 1:5000 dilution was used as the secondary antibody. Lysate at 35ug per lane. |
![]() |
CLPX Antibody (C-term) (Cat. #P30846) flow cytometric analysis of 293 cells (right histogram) compared to a negative control cell (left histogram).FITC-conjugated goat-anti-rabbit secondary antibodies were used for the analysis. |
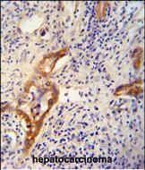
![]() |
CLPX antibody (C-term) (Cat. #P30846) immunohistochemistry analysis in formalin fixed and paraffin embedded human hepatocarcinoma followed by peroxidase conjugation of the secondary antibody and DAB staining. This data demonstrates the use of the CLPX antibody (C-term) for immunohistochemistry. Clinical relevance has not been evaluated. |
本公司的所有产品仅用于科学研究或者工业应用等非医疗目的,不可用于人类或动物的临床诊断或治疗,非药用,非食用。
暂无评论
本公司的所有产品仅用于科学研究或者工业应用等非医疗目的,不可用于人类或动物的临床诊断或治疗,非药用,非食用。
中文



发表回复