别名:Clathrin light chain A, Lca, CLTA应用:WB,IHC,FCM
反应种属:Human
规格:50μl/100μl
| Description |
|---|
| Clathrin is a large, soluble protein composed of heavy and light chains. It functions as the main structural component of the lattice-type cytoplasmic face of coated pits and vesicles which entrap specific macromolecules during receptor-mediated endocytosis. CLTA is one of two clathrin light chain proteins which are believed to function as regulatory elements. |
| Specification | |
|---|---|
| Aliases | Clathrin light chain A, Lca, CLTA |
| Entrez GeneID | 1211 |
| Swissprot | P09496 |
| WB Predicted band size | 27.1kDa |
| Host/Isotype | Rabbit IgG |
| Storage | Store at 4°C short term. Aliquot and store at -20°C long term. Avoid freeze/thaw cycles. |
| Species Reactivity | Human |
| Immunogen | This CLTA antibody is generated from rabbits immunized with a KLH conjugated synthetic peptide between 99-127 amino acids from the Central region of human CLTA. |
| Formulation | Purified polyclonal antibody supplied in PBS with 0.05% sodium azide. This antibody is purified through a protein A column, followed by peptide affinity purification. |
| Application | |
|---|---|
| WB | 1/1000 |
| IHC | 1/100-1/500 |
| FCM | 1/10-1/50 |
![]() |
Western blot analysis of CLTA Antibody (Center) (Cat. #P30439) in MDA-MB231 cell line lysates (35ug/lane). CLTA (arrow) was detected using the purified Pab. |
![]() |
Western blot analysis of CLTA (arrow) using rabbit polyclonal CLTA Antibody (Center) (Cat. #P30439). 293 cell lysates (2 ug/lane) either nontransfected (Lane 1) or transiently transfected (Lane 2) with the CLTA gene. |
![]() |
CLTA Antibody (Center) (Cat. #P30439) flow cytometric analysis of MDA-MB231 cells (right histogram) compared to a negative control cell (left histogram).FITC-conjugated goat-anti-rabbit secondary antibodies were used for the analysis. |
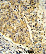
![]() |
Formalin-fixed and paraffin-embedded human lung carcinoma reacted with CLTA Antibody (Center), which was peroxidase-conjugated to the secondary antibody, followed by DAB staining. This data demonstrates the use of this antibody for immunohistochemistry; clinical relevance has not been evaluated. |
本公司的所有产品仅用于科学研究或者工业应用等非医疗目的,不可用于人类或动物的临床诊断或治疗,非药用,非食用。
暂无评论
本公司的所有产品仅用于科学研究或者工业应用等非医疗目的,不可用于人类或动物的临床诊断或治疗,非药用,非食用。
中文




发表回复