别名:CSS应用:WB,IHC
反应种属:Human, Mouse, Rat
规格:50μl/100μl
| Description |
|---|
| This gene encodes an enzyme that converts N-acetylneuraminic acid (NeuNAc) to cytidine 5′-monophosphate N-acetylneuraminic acid (CMP-NeuNAc). This process is important in the formation of sialylated glycoprotein and glycolipids. This modification plays a role in cell-cell communications and immune responses. Alternative splicing results in multiple transcript variants. |
| Specification | |
|---|---|
| Aliases | CSS |
| Swissprot | Q8NFW8 |
| WB Predicted band size | 48 kDa |
| Host/Isotype | Rabbit IgG |
| Storage | Store at 4°C short term. Aliquot and store at -20°C long term. Avoid freeze/thaw cycles. |
| Species Reactivity | Human, Mouse, Rat |
| Immunogen | Fusion protein of human CMAS |
| Formulation | pH7.4 PBS, 0.05% NaN3, 40% Glycerol |
| Application | |
|---|---|
| WB | 1/500-1/2000 |
| IHC | 1/50-1/100 |
| ELISA | 1/5000-1/10000 |
![]() |
Gel: 8%SDS-PAGE, Lysate: 40 μg, Lane 1-3: A172, 293T and PC-3 cell lysates, Primary antibody: P03348(CMAS Antibody) at dilution 1/1000, Secondary antibody: Goat anti rabbit IgG at 1/5000 dilution, Exposure time: 30 seconds |
![]() |
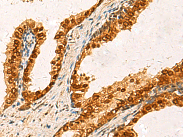
The image is immunohistochemistry of paraffin-embedded Human prostate cancer tissue using P03348(CMAS Antibody) at dilution 1/20. (Original magnification: ×200) |
![]() |
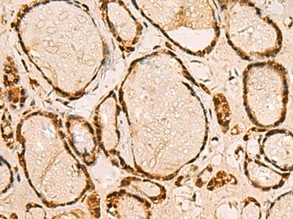
The image is immunohistochemistry of paraffin-embedded Human thyroid cancer tissue using P03348(CMAS Antibody) at dilution 1/20. (Original magnification: ×200) |
本公司的所有产品仅用于科学研究或者工业应用等非医疗目的,不可用于人类或动物的临床诊断或治疗,非药用,非食用。
暂无评论
本公司的所有产品仅用于科学研究或者工业应用等非医疗目的,不可用于人类或动物的临床诊断或治疗,非药用,非食用。
中文



发表回复