别名:AFT; MTr2; HMTr2; FTSJD1应用:IHC
反应种属:Human
规格:50μl/100μl
| Description |
|---|
| S-adenosyl-L-methionine-dependent methyltransferase that mediates mRNA cap2 2′-O-ribose methylation to the 5′-cap structure of mRNAs. Methylates the ribose of the second nucleotide of a m7GpppG-capped mRNA and small nuclear RNA (snRNA) (cap0) to produce m7GpppRmpNm (cap2). Recognizes a guanosine cap on RNA independently of its N7 methylation status. Display cap2 methylation on both cap0 and cap1. Displays a preference for cap1 RNAs. |
| Specification | |
|---|---|
| Aliases | AFT; MTr2; HMTr2; FTSJD1 |
| Swissprot | Q8IYT2 |
| Host/Isotype | Rabbit IgG |
| Storage | Store at 4°C short term. Aliquot and store at -20°C long term. Avoid freeze/thaw cycles. |
| Species Reactivity | Human |
| Immunogen | Fusion protein of human CMTR2 |
| Formulation | pH7.4 PBS, 0.05% NaN3, 40% Glycerol |
| Application | |
|---|---|
| IHC | 1/50-1/200 |
| ELISA | 1/5000-1/10000 |
![]() |
The image is immunohistochemistry of paraffin-embedded Human tonsil tissue using P03452(CMTR2 Antibody) at dilution 1/69. (Original magnification: ×200) |
![]() |
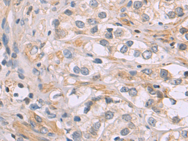
The image is immunohistochemistry of paraffin-embedded Human prostate cancer tissue using P03452(CMTR2 Antibody) at dilution 1/69. (Original magnification: ×200) |
本公司的所有产品仅用于科学研究或者工业应用等非医疗目的,不可用于人类或动物的临床诊断或治疗,非药用,非食用。
暂无评论
本公司的所有产品仅用于科学研究或者工业应用等非医疗目的,不可用于人类或动物的临床诊断或治疗,非药用,非食用。
中文


发表回复