别名:CNG4; CNG5; CNCA2; CNG-4; CNGB2; OCNC2; OCNCb; OCNCBETA应用:WB,IHC
反应种属:Human, Mouse, Rat
规格:50μl/100μl
| Description |
|---|
| Second messenger, cAMP, causes the opening of cation-selective cyclic nucleotide-gated (CNG) channels and depolarization of the neuron (olfactory sensory neurons, OSNs). CNGA4 is the modulatory subunit of this channel which is known to play a central role in the transduction of odorant signals and subsequent adaptation. By accelerating the calcium-mediated negative feedback in olfactory signaling it allows rapid adaptation to odor stimulation and extends its range of odor detection. |
| Specification | |
|---|---|
| Aliases | CNG4; CNG5; CNCA2; CNG-4; CNGB2; OCNC2; OCNCb; OCNCBETA |
| Swissprot | Q8IV77 |
| WB Predicted band size | 66 kDa |
| Host/Isotype | Rabbit IgG |
| Storage | Store at 4°C short term. Aliquot and store at -20°C long term. Avoid freeze/thaw cycles. |
| Species Reactivity | Human, Mouse, Rat |
| Immunogen | Synthetic peptide of human CNGA4 |
| Formulation | pH7.4 PBS, 0.05% NaN3, 40% Glycerol |
| Application | |
|---|---|
| WB | 1/200-1/1000 |
| IHC | 1/20-1/100 |
| ELISA | 1/1000-1/2000 |
![]() |
Gel: 8%SDS-PAGE, Lysate: 40 μg, Lane 1-2: Human cerebrum tissue and Human cerebella tissue lysates, Primary antibody: P13201(CNGA4 Antibody) at dilution 1/200, Secondary antibody: Goat anti rabbit IgG at 1/8000 dilution, Exposure time: 5 seconds |
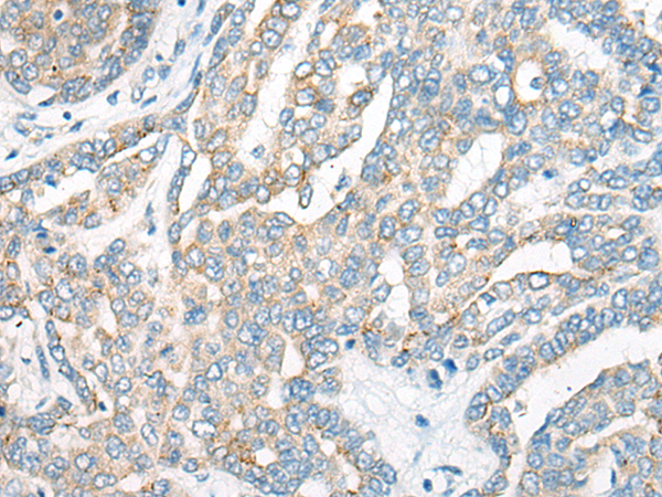
![]() |
The image is immunohistochemistry of paraffin-embedded Human liver cancer tissue using P13201(CNGA4 Antibody) at dilution 1/20. (Original magnification: ×200) |
本公司的所有产品仅用于科学研究或者工业应用等非医疗目的,不可用于人类或动物的临床诊断或治疗,非药用,非食用。
暂无评论
本公司的所有产品仅用于科学研究或者工业应用等非医疗目的,不可用于人类或动物的临床诊断或治疗,非药用,非食用。
中文


发表回复