别名:Calponin-2, Calponin H2, smooth muscle, Neutral calponin, CNN2应用:WB,IHC
反应种属:Human
规格:50μl/100μl
| Description |
|---|
| The protein encoded by this gene, which can bind actin, calmodulin, troponin C, and tropomyosin, may function in the structural organization of actin filaments. The encoded protein could play a role in smooth muscle contraction and cell adhesion. Two transcript variants encoding different isoforms have been found for this gene. |
| Specification | |
|---|---|
| Aliases | Calponin-2, Calponin H2, smooth muscle, Neutral calponin, CNN2 |
| Entrez GeneID | 1265 |
| Swissprot | Q99439 |
| WB Predicted band size | 33.7kDa |
| Host/Isotype | Rabbit IgG |
| Storage | Store at 4°C short term. Aliquot and store at -20°C long term. Avoid freeze/thaw cycles. |
| Species Reactivity | Human |
| Immunogen | This CNN2 antibody is generated from rabbits immunized with a KLH conjugated synthetic peptide between 9-36 amino acids from the N-terminal region of human CNN2. |
| Formulation | Purified polyclonal antibody supplied in PBS with 0.05% sodium azide. This antibody is purified through a protein A column, followed by peptide affinity purification. |
| Application | |
|---|---|
| WB | 1/1000 |
| IHC | 1/100-1/500 |
![]() |
CNN2 Antibody (N-term) (Cat. #P31082) western blot analysis in A2058 cell line lysates (35ug/lane).This demonstrates the CNN2 antibody detected the CNN2 protein (arrow). |
![]() |
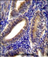
CNN2 Antibody (N-term) (Cat. #P31082)immunohistochemistry analysis in formalin fixed and paraffin embedded human uterus tissue followed by peroxidase conjugation of the secondary antibody and DAB staining.This data demonstrates the use of CNN2 Antibody (N-term) for immunohistochemistry. Clinical relevance has not been evaluated. |
本公司的所有产品仅用于科学研究或者工业应用等非医疗目的,不可用于人类或动物的临床诊断或治疗,非药用,非食用。
暂无评论
本公司的所有产品仅用于科学研究或者工业应用等非医疗目的,不可用于人类或动物的临床诊断或治疗,非药用,非食用。
中文


发表回复