别名:CCR4-associated factor 1; CAF-1应用:WB,IHC,FCM,IP
反应种属:Human,Mouse,Rat,Monkey
规格:50μl/100μl
| Description |
|---|
| Has 3′-5′ poly(A) exoribonuclease activity for synthetic poly(A) RNA substrate. Its function seems to be partially redundant with that of CNOT8. Catalytic component of the CCR4-NOT complex which is one of the major cellular mRNA deadenylases and is linked to various cellular processes including bulk mRNA degradation, miRNA-mediated repression, translational repression during translational initiation and general transcription regulation. |
| Specification | |
|---|---|
| Aliases | CCR4-associated factor 1; CAF-1 |
| Entrez GeneID | 18983 |
| Swissprot | Q60809 |
| WB Predicted band size | Calculated MW: 33 kDa; Observed MW: 33 kDa |
| Host/Isotype | Rabbit IgG |
| Storage | Store at 4°C short term. Aliquot and store at -20°C long term. Avoid freeze/thaw cycles. |
| Species Reactivity | Human,Mouse,Rat,Monkey |
| Immunogen | A synthetic peptide of mouse CNOT7 |
| Formulation | 50mM Tris-Glycine(pH 7.4), 0.15M NaCl, 40% Glycerol, 0.01% Sodium azide and 0.05% BSA |
| Application | |
|---|---|
| IP | 1/20 |
| WB | 1/500-1/1000 |
| IHC | 1/50-1/100 |
| FCM | 1/50-1/100 |
![]() |
Western blot analysis of CNOT7 in F9, C6, PC-12, 3T3, Raw264.7 lysates using CNOT7 antibody. |
![]() |
Western blot analysis of CNOT7 in Molt4, Raji, COS7, Hela lysates using CNOT7 antibody. |
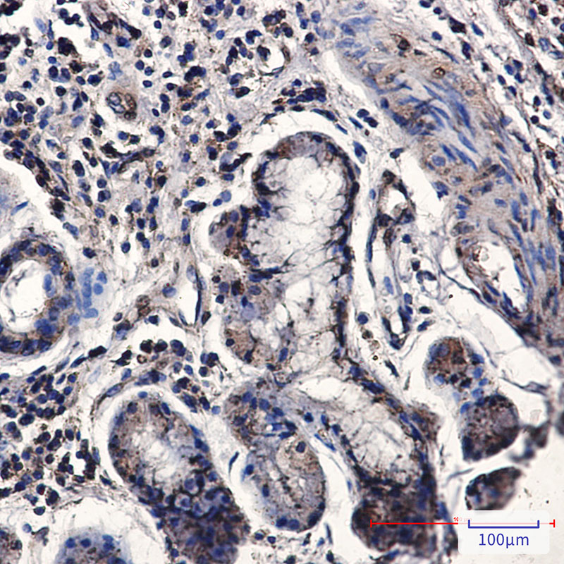
![]() |
Immunohistochemistry analysis of paraffin-embedded Human lung cancer using CNOT7 antibody. High-pressure and temperature Sodium Citrate pH 6.0 was used for antigen retrieval. |
本公司的所有产品仅用于科学研究或者工业应用等非医疗目的,不可用于人类或动物的临床诊断或治疗,非药用,非食用。
暂无评论
本公司的所有产品仅用于科学研究或者工业应用等非医疗目的,不可用于人类或动物的临床诊断或治疗,非药用,非食用。
中文



发表回复