别名:CAG4A; ERDA5; TNRC5; PRAT4A应用:WB,IHC
反应种属:Human, Mouse
规格:50μl/100μl
| Description |
|---|
| This gene encodes a protein that binds members of the toll-like receptor protein family and functions as a chaperone to aid in folding and export of these proteins. Alternative splicing results in multiple transcript variants. Naturally occuring readthrough transcription occurs between this locus and the downstream GNMT (glycine N-methyltransferase) gene and is represented with GeneID:107080644. |
| Specification | |
|---|---|
| Aliases | CAG4A; ERDA5; TNRC5; PRAT4A |
| Swissprot | Q9BT09 |
| WB Predicted band size | 31 kDa |
| Host/Isotype | Rabbit IgG |
| Storage | Store at 4°C short term. Aliquot and store at -20°C long term. Avoid freeze/thaw cycles. |
| Species Reactivity | Human, Mouse |
| Immunogen | Fusion protein of human CNPY3 |
| Formulation | pH7.4 PBS, 0.05% NaN3, 40% Glycerol |
| Application | |
|---|---|
| WB | 1/500-1/2000 |
| IHC | 1/50-1/300 |
| ELISA | 1/5000-1/10000 |
![]() |
Gel: 12%SDS-PAGE, Lysate: 40 μg, Lane 1-3: OP9, HepG2 and NIH/3T3 cell lysates, Primary antibody: P02885(CNPY3 Antibody) at dilution 1/400, Secondary antibody: Goat anti rabbit IgG at 1/8000 dilution, Exposure time: 10 seconds |
![]() |
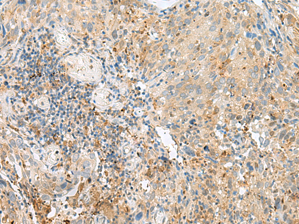
The image is immunohistochemistry of paraffin-embedded Human cervical cancer tissue using P02885(CNPY3 Antibody) at dilution 1/55. (Original magnification: ×200) |
![]() |
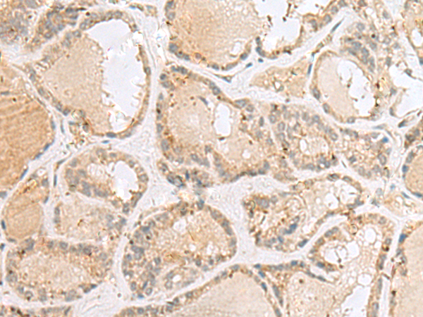
The image is immunohistochemistry of paraffin-embedded Human thyroid cancer tissue using P02885(CNPY3 Antibody) at dilution 1/55. (Original magnification: ×200) |
本公司的所有产品仅用于科学研究或者工业应用等非医疗目的,不可用于人类或动物的临床诊断或治疗,非药用,非食用。
暂无评论
本公司的所有产品仅用于科学研究或者工业应用等非医疗目的,不可用于人类或动物的临床诊断或治疗,非药用,非食用。
中文



发表回复