别名:CFL1; CFL; Cofilin-1; 18 kDa phosphoprotein; p18; Cofilin; non-muscle isoform应用:WB,IHC,ICC
反应种属:Human,Mouse
规格:50μl/100μl
| Description |
|---|
| The protein encoded by this gene can polymerize and depolymerize F-actin and G-actin in a pH-dependent manner. Increased phosphorylation of this protein by LIM kinase aids in Rho-induced reorganization of the actin cytoskeleton. Cofilin is a widely distributed intracellular actin-modulating protein that binds and depolymerizes filamentous F-actin and inhibits the polymerization of monomeric G-actin in a pH-dependent manner. It is involved in the translocation of actin-cofilin complex from cytoplasm to nucleus.[supplied by OMIM, Apr 2004] |
| Specification | |
|---|---|
| Aliases | CFL1; CFL; Cofilin-1; 18 kDa phosphoprotein; p18; Cofilin; non-muscle isoform |
| Entrez GeneID | 1072 |
| Swissprot | P23528 |
| WB Predicted band size | Calculated MW: 19 kDa; Observed MW: 19 kDa |
| Host/Isotype | Rabbit IgG |
| Storage | Store at 4°C short term. Aliquot and store at -20°C long term. Avoid freeze/thaw cycles. |
| Species Reactivity | Human,Mouse |
| Immunogen | Peptide sequence around aa. 86~90 (A-T-Y-E-T) derived from Human coflin1/cofilin2. |
| Formulation | Liquid in PBS containing 50% glycerol, 0.5% BSA and 0.02% sodium azide, pH 7.3. |
| Application | |
|---|---|
| WB | 1/500-1/1000 |
| IHC | 1/50-1/100 |
| ICC | 1/50-1/200 |
![]() |
Western blot analysis of Cofilin in MDA lysates using coflin1/cofilin2 (Ab88) antibody. |
![]() |
Immunofluorescence analysis of Cofilin in Hela using coflin1/cofilin2 (Ab88) antibody. |
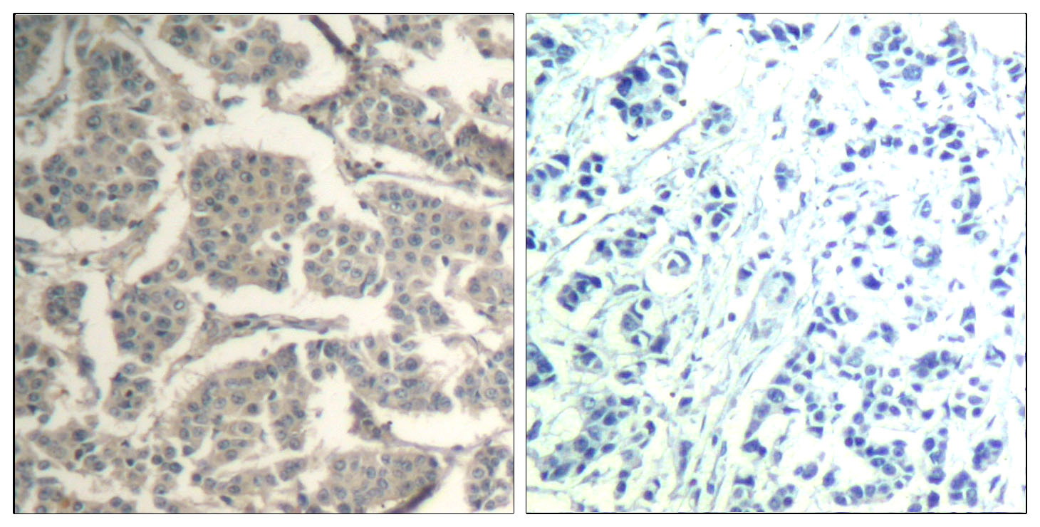
![]() |
Immunohistochemistry analysis of paraffin-embedded Human breast carcinoma tissue using coflin1/cofilin2 (Ab88) antibody (left) or the same antibody preincubated with blocking peptide (right).High-pressure and temperature Sodium Citrate pH 6.0 was used for antigen retrieval. |
本公司的所有产品仅用于科学研究或者工业应用等非医疗目的,不可用于人类或动物的临床诊断或治疗,非药用,非食用。
暂无评论
本公司的所有产品仅用于科学研究或者工业应用等非医疗目的,不可用于人类或动物的临床诊断或治疗,非药用,非食用。
中文



发表回复