别名:AMY; CLAC; CLACP; CFEOM5; CLAC-P应用:IHC
反应种属:Human, Mouse
规格:50μl/100μl
| Description |
|---|
| This gene encodes a brain-specific membrane associated collagen. A product of proteolytic processing of the encoded protein, CLAC (collagenous Alzheimer amyloid plaque component), binds to amyloid beta-peptides found in Alzheimer amyloid plaques but CLAC inhibits rather than facilitates amyloid fibril elongation (PMID: 16300410). A study of over-expression of this collagen in mice, however, found changes in pathology and behavior suggesting that the encoded protein may promote amyloid plaque formation (PMID: 19548013). Multiple transcript variants encoding different isoforms have been found for this gene. |
| Specification | |
|---|---|
| Aliases | AMY; CLAC; CLACP; CFEOM5; CLAC-P |
| Swissprot | Q9BXS0 |
| Host/Isotype | Rabbit IgG |
| Storage | Store at 4°C short term. Aliquot and store at -20°C long term. Avoid freeze/thaw cycles. |
| Species Reactivity | Human, Mouse |
| Immunogen | Synthetic peptide of human COL25A1 |
| Formulation | pH7.4 PBS, 0.05% NaN3, 40% Glycerol |
| Application | |
|---|---|
| IHC | 1/20-1/100 |
| ELISA | 1/5000-1/10000 |
![]() |
The image is immunohistochemistry of paraffin-embedded Human liver cancer tissue using P13090(COL25A1 Antibody) at dilution 1/30. (Original magnification: ×200) |
![]() |
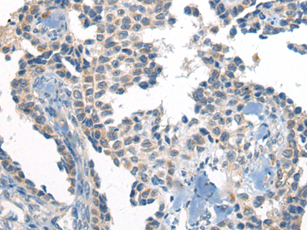
The image is immunohistochemistry of paraffin-embedded Human ovarian cancer tissue using P13090(COL25A1 Antibody) at dilution 1/30. (Original magnification: ×200) |
本公司的所有产品仅用于科学研究或者工业应用等非医疗目的,不可用于人类或动物的临床诊断或治疗,非药用,非食用。
暂无评论
本公司的所有产品仅用于科学研究或者工业应用等非医疗目的,不可用于人类或动物的临床诊断或治疗,非药用,非食用。
中文


发表回复