别名:3MC2; CLK1; CL-K1-I; CL-K1-II; CL-K1-IIa; CL-K1-IIb应用:IHC
反应种属:Human, Mouse
规格:50μl/100μl
| Description |
|---|
| This gene encodes a member of the collectin family of C-type lectins that possess collagen-like sequences and carbohydrate recognition domains. Collectins are secreted proteins that play important roles in the innate immune system by binding to carbohydrate antigens on microorganisms, facilitating their recognition and removal. The encoded protein binds to multiple sugars with a preference for fucose and mannose. Mutations in this gene are a cause of 3MC syndrome-2. Alternatively spliced transcript variants encoding multiple isoforms have been observed for this gene. |
| Specification | |
|---|---|
| Aliases | 3MC2; CLK1; CL-K1-I; CL-K1-II; CL-K1-IIa; CL-K1-IIb |
| Swissprot | Q9BWP8 |
| Host/Isotype | Rabbit IgG |
| Storage | Store at 4°C short term. Aliquot and store at -20°C long term. Avoid freeze/thaw cycles. |
| Species Reactivity | Human, Mouse |
| Immunogen | Fusion protein of human COLEC11 |
| Formulation | pH7.4 PBS, 0.05% NaN3, 40% Glycerol |
| Application | |
|---|---|
| IHC | 1/25-1/100 |
| ELISA | 1/2000-1/5000 |
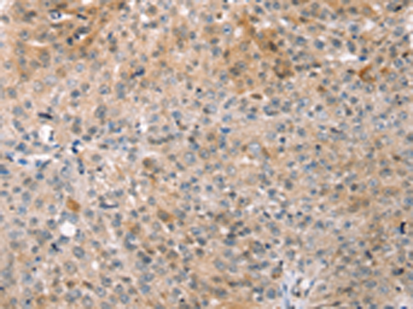
![]() |
The image is immunohistochemistry of paraffin-embedded Human liver cancer tissue using P07211(COLEC11 Antibody) at dilution 1/20. (Original magnification: ×200) |
![]() |
The image is immunohistochemistry of paraffin-embedded Human breast cancer tissue using P07211(COLEC11 Antibody) at dilution 1/20. (Original magnification: ×200) |
本公司的所有产品仅用于科学研究或者工业应用等非医疗目的,不可用于人类或动物的临床诊断或治疗,非药用,非食用。
暂无评论
本公司的所有产品仅用于科学研究或者工业应用等非医疗目的,不可用于人类或动物的临床诊断或治疗,非药用,非食用。
中文


发表回复